폐부종 상태 엑스레이 좀 봐주세요 . 감사합니다.
며칠 전에 아버지께서 상태가 안 좋으셔서 병원에 갔는데 급성 신부전에 폐에 물이 찼다고 하네요.
그래서 입원해서 치료를 받았습니다.
신부전 수치는 좋아졌고 폐 물은 거의 빠졌다고 퇴원하라고 하는데...
다 빠진 게 아닌데 퇴원해서 불안하긴 했는데 담당 교수님이 퇴원해도 된다해서 퇴원했습니다.
불안해서 혹시 몰라서 퇴원 전날에 찍은 엑스레이 자료 좀 달라고 했거든요 .
들고 와서 인터넷에 검색해서 비교해 봐도 아무것도 모르겠네요.
암만 봐도 다 똑같아 보입니다...
폐에 물 찬 정도가 다 빠진 게 맞나요?
저 상태는 괜찮은 상태가 맞을까요?
그리고 피검사 결과지도 뽑아왔는데 맨 마지막 장에 심비대라고 적혀있더라고요.
저희 아버지, 심장도 커진 상태인가요?
안녕하세요. 이욱현 의사입니다.
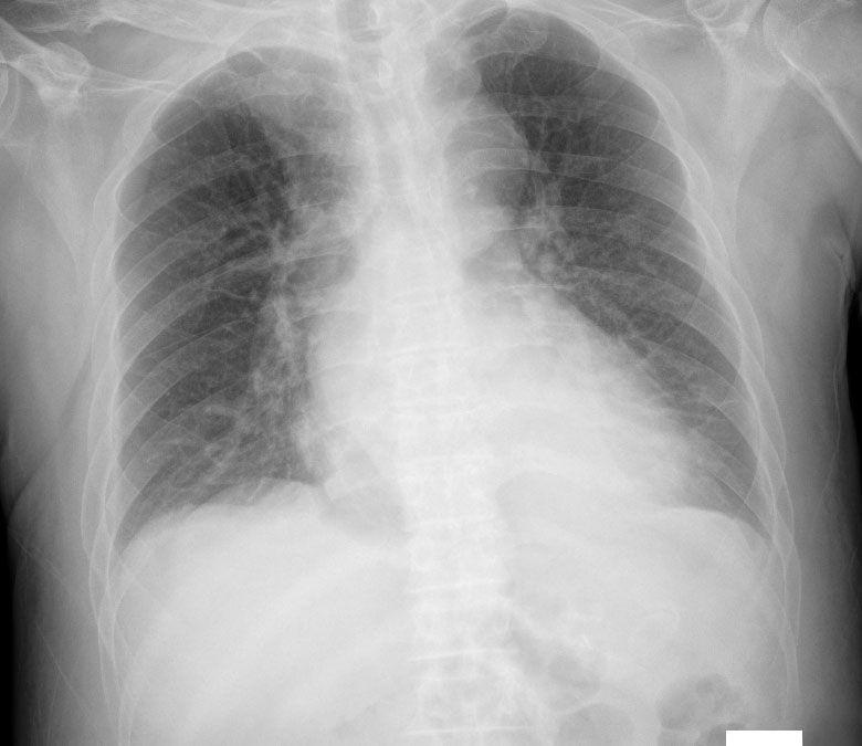
참고하시기 위해 다른 폐부종 사진을 첨부합니다. 한번의 사진으로 좋아졌다, 괜찮다를 판단하지 않고 이전 검사와 비교했을 때 좋아졌다, 괜찮다를 판단합니다. 그래서 한번의 x-ray가 괜찮냐 안 괜찮냐를 논하기 보다는 이전 검사와 비교해서 좋아졌는지 추세가 더 중요하다고 할 수 있습니다.
안녕하세요. 영상의학과 전문의 최원제 의사입니다.
예전에 폐에 물이 찼을 때 사진은 제가 보지않았지만 현재로서는 폐에 물은 없어보이고 심비대소견만 보입니다.
안녕하세요. 아하(Aha) 의료분야 답변자 외과 전문의 배병제입니다.
폐부종이 있으셨다면 저 엑스레이사진은 많이 좋아졌다고 볼 수 있겠고, 심비대가 약간 의심스럽긴 하지만 고혈압을 오래 앓으셨다면 동반되는 변화이므로 심기능에 이상이 없을 경우 크게 문제삼지는 않을 것으로 보입니다.
저의 답변이 도움이 되셨길 바랍니다.

