의료상담
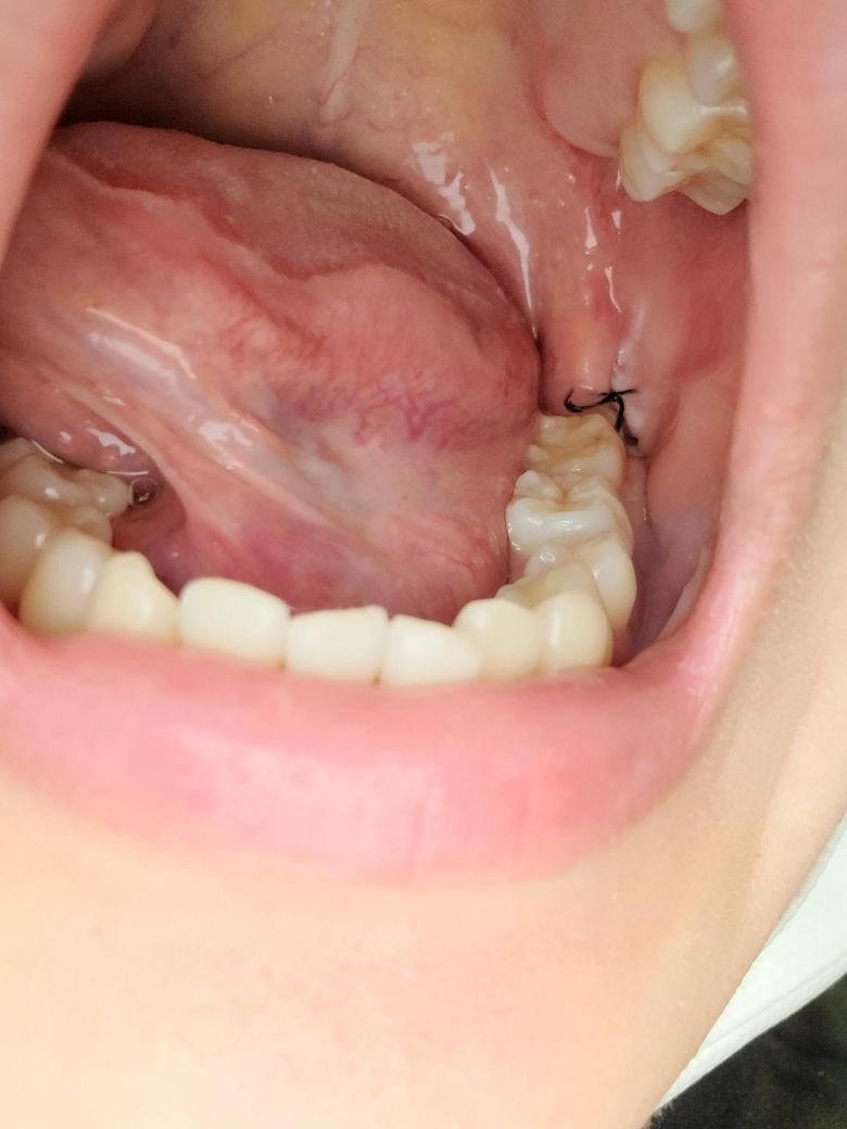
드라이소켓이라는건가요 하얀색이 있는것같아서....
매복사랑니 화요일에 빼고 지금 3일정도됬는데 사진으로 보다시피 하얀색뭐가있어서요 이게 드라이소켓?이라는건지 아니면 그면 음식물이 낀건지 어제도 있길래 이쑤시개 로 뺐더니 없어지긴하더라고요? 건드리면 안됬던건지 궁금해요!
55글자 더 채워주세요.
2개의 답변이 있어요!
안녕하세요. 장인아 치과위생사입니다.
드라이소켓은 발치부위 상처에서 피가 딱지로 굳지 못하여 발생하고 약으로 조절할수 없는 통증이 동반됩니다. 발치 부위에 낀 음식물은 제거해주면 됩니다. 건강하세요.
안녕하세요. 최석민 치과의사입니다.
딱히 드라이소켓의 양상은 아닌 것으로 보입니다. 아마도 이물질이었을겁니다. 이쑤시개는 자극이 되니 그거보다는 물가글해서 음식물찌꺼기 제거해주세요

