아핫뉴스실시간 인기검색어
아핫뉴스 화산 이미지
화산 아이콘 11
드라마 청년 김대건 방영
아하

의료상담

치과

때론진귀한붕어빵
때론진귀한붕어빵

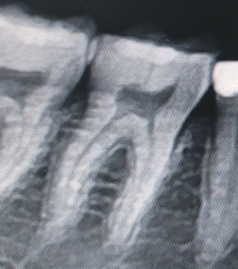
엑스레이 상으로 인접면 충치일까요?

갑자기 잇몸이 약간 부었습니다. 치실과 양치를 할때 피가 난다던가 하진 않고 그냥 할때마다 아픈 정도 입니다. 평소에 따로 차갑거나 뜨거운거 먹었을때 시리거나 하지는 않는데 씹을때 살짝 통증이 있습니다. 얼마전에 치아 검진 받으면서 찍은 엑스레이 사진인데 문제 없다고 하셨습니다만 갑자기 잇몸이 부어 엑스레이 찍은거 확인해보니 살짝 어두운 곳이 보여 혹시 인접면 충치가 생겨서 그런건가? 싶어 질문 드립니다.

  1. 엑스레이 상으로 인접면 충치라고 볼 수 있을까요?

  2. 단순히 잇몸이 부어서 이렇게 씹을때 불편할 수 있나요?

  3. 피 안나는 정도면 비타민 섭취나 스트레스 안받으면 자연스럽게 가라앉을까요?

  • 1번 째 사진
  • 2번 째 사진
4개의 답변이 있어요!
  • 체크한 부분은 방사선상 소환이 일어나는 곳이라 검게 보일 수 있습니다.

    잇몸이 원인일 수도 있습니다. 며칠 더 지켜보시고 계속 불편하면 다른치과도 가보시는 게 좋겠습니다.

  • 사진으로 보여 봤을 경우에는 해당 부위에 음영이 보이는 걸로 보여 충치가 있을 가능성이 높습니다 하지만 방사선 사진상에서만 어둡게 보이는 경우도 있기 때문에 정확한 확인을 위해서는 치과에서 진료를 받아야 될 것으로 생각됩니다

    1. 인접면 충치보다는 치경부소환의 가능성이 있어보입니다. cervical burn-out이고 인접면 충치와 엑스레이상에서 비슷하게 보입니다.

    2. 네 잇몸 염증으로 씹을 때 통증이 있을 수 있습니다.

    3. 잇몸에 염증이 있으면 스케일링을 한번 받아보시는 것이 좋으며 평소에도 치실질로 관리를 잘해주셔야 합니다.

  • 안녕하세요 치과의사 김철진입니다. 엑스레이 상으로 보면 충치는 아닌거 같습니다. 치아 사이 관리가 안되서 염증이 생긴거 같습니다.