의료상담
55글자 더 채워주세요.
3개의 답변이 있어요!
안녕하세요. 김지훈 치과의사입니다.
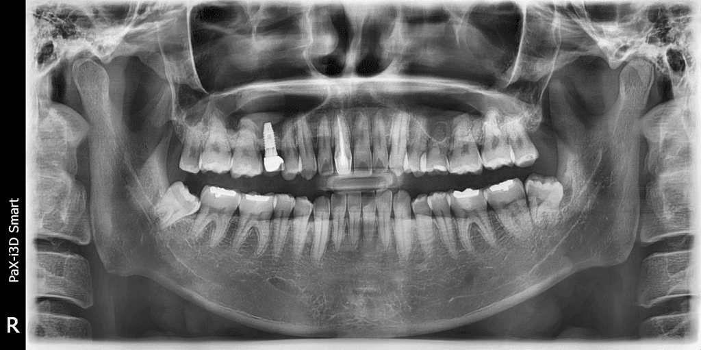
뼈 모양에 따라 임플란트가 튀어나와 보일 수 있으며 임플란트 했어도 교정치료는 가능합니다.
안녕하세요. 김철진 치과의사입니다.
유치로 인한 임플란트는 영구치가 선천적으로 결손 상태라 유치를 최대한 오래 쓰다가 임플란트를 하는경우가 꽤 있습니다.
안녕하세요. 송우식 치과의사입니다.
임플란트 치아가 있는 경우 치아의 움직임에 제한이 있기에 치아교정이 어려울수 있습니다.
궁금증 해소에 도움이 되시길 바라며, 도움이 되신 경우 '추천' 부탁드립니다.

