아하
  • 토픽

  • 스파링

  • 잉크

  • 미션


의료상담

다정한양277

다정한양277

24.02.05

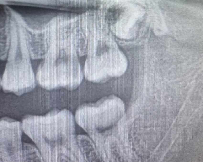
2달전에 찾은 제 사랑니 어떻게 하는게 좋을까요?

현재 예비 고3이고 사진은 2달전 치과에서 찍은 사진 입니다.

지금동안 사랑니가 나온다는 15세 이후로도 사랑니로 문제는 커녕 자라나는 사랑니도 없고 그래서 사랑니 4개 전부 없던 아빠처럼 저도 그냥 선천적으로 사랑니가 없는줄 알았지만

2달 전에 치과에서 왼쪽 상부에 아직 뿌리도 안자란 사랑니 1개를 발견 했습니다.

아직 이 왼쪽 상부 외에 사랑니는 없습니다

찾아보니 자라는 방향이 썩 좋은방향이 아닌거같고 해서 뿌리가 다 자라기 전에 뽑는게 좋을까 생각 해봤지만

막상 보면 이 글을 쓰고있는 지금도 그쪽이 딱히 아프거나 그쪽에 뭐가 만져지는것도 없이 멀쩡해서 이걸 미리 뽑아야 할지, 아니면 그냥 냅둘지 어떻게 해야할지 고민입니다.

어떻게 하는게 좋을까요?

  • 1번 째 사진

5개의 답변이 있어요!

  • 김지훈 치과의사

    김지훈 치과의사

    메가

    24.02.05

    안녕하세요. 김지훈 치과의사입니다.

    사랑니는 웬만하면 발치를 하는 것이 좋으나 잇몸 깊이 박혀있다면 좀 더 지켜보고 결정해도 됩니다.

  • 안녕하세요. 김철진 치과의사입니다.

    미리 뽑으실필요는 없고 추후에 맹출되면 그때 상황봐서 발치여부를 판단하셔도 될것같습니다.

  • 안녕하세요. 최석민 치과의사입니다.

    현재 왼쪽 위 사랑니는 맹출중인 상태입니다 굳이 지금 뽑지 않아도 됩니다 나중에 맹출 양성을 보고 바르게 잘 나온다면 관리를 잘해줘서 충치만 생기지 않는다면 굳이 뺄 필요가 없습니다

    현재로선 별다른 처치가 필요하지 않습니다

  • 안녕하세요. 안상우 치과의사입니다.

    사랑니가 매복되어 있고 별다른 문제를 발생시키지 않는다면 발치를 하지 않아도 됩니다.

    사랑니가 나온다고 해도 똑바로 나오면 그대로 사용할 수 있는 경우도 있기 때문에 사랑니가 맹출하는 상황을 지켜보면서 문제가 발생할 가능성이 있거나 불편감이 있을 때 발치를 하는 것이 좋습니다.

  • 안녕하세요. 송우식 치과의사입니다.

    현재 매복된 사랑니 방향이 좋지 않기에 방치시에 앞의 어금니가 서서히 손상이 와서 나중에 두개의 치아를 발치해야 하는 상황이 올수 있습니다. 따라서 통증이나 불편감이 없더라도 미리 발치를 하는 것이 좋습니다.

    궁금증 해소에 도움이 되시길 바라며, 도움이 되신 경우 '추천' 부탁드립니다.