의료상담

치과선생님들만 답변 부탁드려요. 치아부식 치료 해야할까요?




치과 의사선생님들만 답변 부탁드려요!

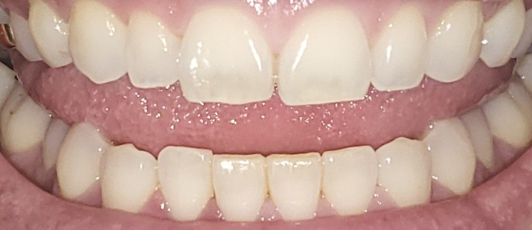
앞니 끝부분이 투명해서 검색해보니

치아부식이라고 뜨는데

이정도면 치아부식 치료 해야할 수준으로 보이나요?


치아부식도 방치하다가 신경까지 다 손상되어

치료시기를 놓친 경우들도 있다고 하는데

저는 이가 시린증상도 없고 아무런 불편이 없는데

단순히 치아끝부분만 투명하기만 하거든요.


그리고 앞니 끝부분 모양이 울퉁불퉁한걸보니

치아 마모도 같이 있는거같은데

외관상 저렇게 보이는것 말고는 시림증상이나 불편은 전혀 없어요.


불편증상이 없어도 부식이 더 심해지기전에

치아부식 치료를 해야할까요?

치과보험이 없어서

치료받아야한다면 미리 치과보험 들었다가

면책기간(3개월정도?) 지나면 치과가서 치료하려구요


현재 저의 치아상태가 치아부식,치아마모 치료를 해야할 상태인지?치아부식,치아마모도 치과보험 적용 가능한지 궁금합니다..


치과선생님들만 답변 부탁드립니다.감사합니다


  • 1번 째 사진

4개의 답변이 있어요!

  • 안녕하세요. 김지훈 치과의사입니다.

    치아 부식이 아니라 법랑질이라는 정상 구조입니다. 걱정하실 것 없고 관리 잘 하시면 되겠습니다.

  • 안녕하세요. 김철진 치과의사입니다.

    치아가 부식은 아닌거 같습니다. 치아 끝부분이 닳게되면서 다른곳에 비해서 상대적으로 투명해 보이는거니 큰 문제가 잇는건 아닙니다.

  • 안녕하세요. 송우식 치과의사입니다.

    시림이나 불편감이 없는 경우에는 조금더 지켜보아도 되나, 예방 및 심미적이 목적을 위해서는 레진으로 치료가 가능합니다.레진 치료는 건강보험적용이 되지 않습니다.

    궁금증 해소에 도움이 되시길 바라며, 도움이 되신 경우 '추천' 부탁드립니다.

  • 안녕하세요. 최석민 치과의사입니다.

    1. 현재 사진 상에서 보여지는 치아의 마모, 부식 양상은 아주 심각하지는 않습니다. 즉각 처치가 필요하진 않습니다.

    2. 치아 마모 방지를 위해 이갈이나 이악물기 습관이 있다면 개선이 필요하고 평소 딱딱하거나 질긴 음식을 피하시기 바랍니다.

    3. 산성식품도 피하시는 것이 좋습니다.