아핫뉴스실시간 인기검색어
아핫뉴스 화산 이미지
아하

의료상담

치과

충분히파릇파릇한트리케라톱스
충분히파릇파릇한트리케라톱스

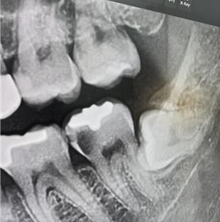
치아 x-ray 한번 봐주시면 감사하겠습니다.

현재는 통증은 없는데

제가 진료 본 선생님께서는

무조건 충치부분제거 후에 확인하여

크라운+신경치료 또는 잘못하면 발치 후 임플란트까지 해야된다고 하시는데..

어떻게 보여지실까요?.

사랑니 옆 치아 입니다.

  • 1번 째 사진
3개의 답변이 있어요!
  • 안녕하세요. 안상우 치과의사입니다.

    사진으로 봤을 경우 사랑니 앞의 치아는 충치가 많이 진행되어 있는것으로 보입니다. 충치가 치아의 뿌리까지 진행이 되었다면 발치를 해야 하는 상황이 발생할수 있습니다.

    충치가 크기 때문에 빠르게 치료를 하는것이 좋을것으로 생각됩니다

  • 안녕하세요. 김철진 치과의사입니다.

    엑스레이 상으로만 봐도 충치가 상당히 많이 진행된거 같습니다. 신경치료를 해도 예후가 많이 안좋을수도 있습니다.

  • 안녕하세요. 송우식 치과의사입니다.

    사랑니 바로앞 치아가 많이 썩어 있으며 사랑니와 맞닿는 부위 잇몸뼈도 내려간 상태 입니다. 이런 경우 어금니 예후가 별로 좋지 않습니다. 일단 신경치료 크라운 시도 해 보고 안되면 뽑는 것도 생각해야 합니다.