아하
  • 토픽

  • 스파링

  • 잉크

  • 미션


의료상담

와일드한파랑새201

와일드한파랑새201

23.10.25

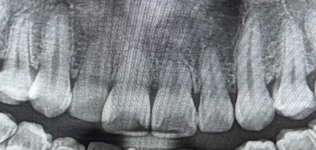
치근이 짧은 경우 치아교정 어떤게 더 좋을까요?

치근이 짧은데 덧니때문에 교정을 하고싶습니다.

앞니 치근이 짧아서 더 흡수가 될까봐 걱정입니다. 왜 치근이 짧아졌는지는 모르겠어요. 원래 짧은건지 나쁜 버릇때문인지, 앞니를 부딪히거나 그런 사고는 기억이 안납니다.

원래 치근이 짧은 사람은 치근 흡수가 더 잘 생길까요?

인비절이나 클리피씨(철길) 중에 앞니만 부분 교정 할 경우 치근이 어떤 장치가 더 짧아질까요? 인비절로 하고싶은데 장치를 뺐다 꼈다 할 때 충격때문에 더 치근 흡수가 잘 일어날까요??

  • 1번 째 사진

3개의 답변이 있어요!

  • 김철진 치과의사

    김철진 치과의사

    가까운우리치과

    23.10.26

    안녕하세요. 김철진 치과의사입니다.

    외상이 아니라면 선천적으로 치근이 짧으신거 같습니다. 교정을 할경우에는 부작용으로 치근이 흡수될수 있습니다. 둘중 어느게 치근흡수가 더 잘일어난다고 말하기는 어렵고 부작용이 생기면 둘다 치근흡수가 발생할수 있습니다.

  • 안녕하세요. 안상우 치과의사입니다.

    교정을 할 때 뿌리가 짧은 치아의 경우에는 과도한 교정력이 가해질때 흡수가 될수 있습니다.

    자주 생기는 증상은 아니지만 치근의 짧을 경우에는 교정치료를 하는데 부작용이 있을 수 있기 때문에 신중하게 생각을 하시고 결정하시는 것이 좋습니다.


  • 안녕하세요. 최석민 치과의사입니다.

    교정 치료 중 치근흡수가 일어나는 이유는 치아가 교정력에 의해 움직이기 때문입니다. 따라서 어떤 교정을 하더라도 치근흡수의 가능성은 있고 현재로선 유전적으로 치아 뿌리가 많이 짧은 상태인 것 같습니다. 교정 전 교정치과의사가 치료 가능성과 치료 중 생길 수 있는 부작용에 대해 판단을 내려야 할 것 같습니다