아하
  • 토픽

  • 스파링

  • 잉크

  • 미션


의료상담

내내놀라운기술자

내내놀라운기술자

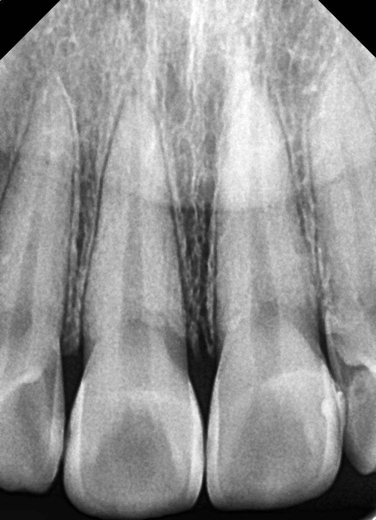
치과 의견이 너무 다릅니다.. 인접면 충치 관련 알려주세요

오늘 2개 치과를 다녀왔는데 말이 너무 반대라서 어떤치료를 해야할지 모르겟어요

A치과

사진도 제일 많이 찍고 엑스레이사진이 제 주관상 가장 좀 선명?했습니다 인접면 충치가 9개 정도 모인다고 최소 198만원에서 271만원으로 인레인, 레진 치료를 해야한다고 합니다

인접면 충치는 신경치료 가능성이 높아서 바로 치료해야 한다고 합니다

B치과

살짝 검은색이 보이긴 하지만 지금당장 치료해야할 필요는 없다고 정기검진만 하자고 하십니다..

사진은 a치과 엑스레이 사진입니다!

참고

오른쪽 위 어금니에서 씹을 때마다 통증이 느껴져서 일단 사랑니를 뺏는데 이젠 씹을 때 통증은 느껴지지 않지만 조금 둔한 느낌이 잇습니다. 이게 사랑니 때문인지 인접면 충치 때문에 그렇게 느껴지는 건지 아직 잘 모르겠네요

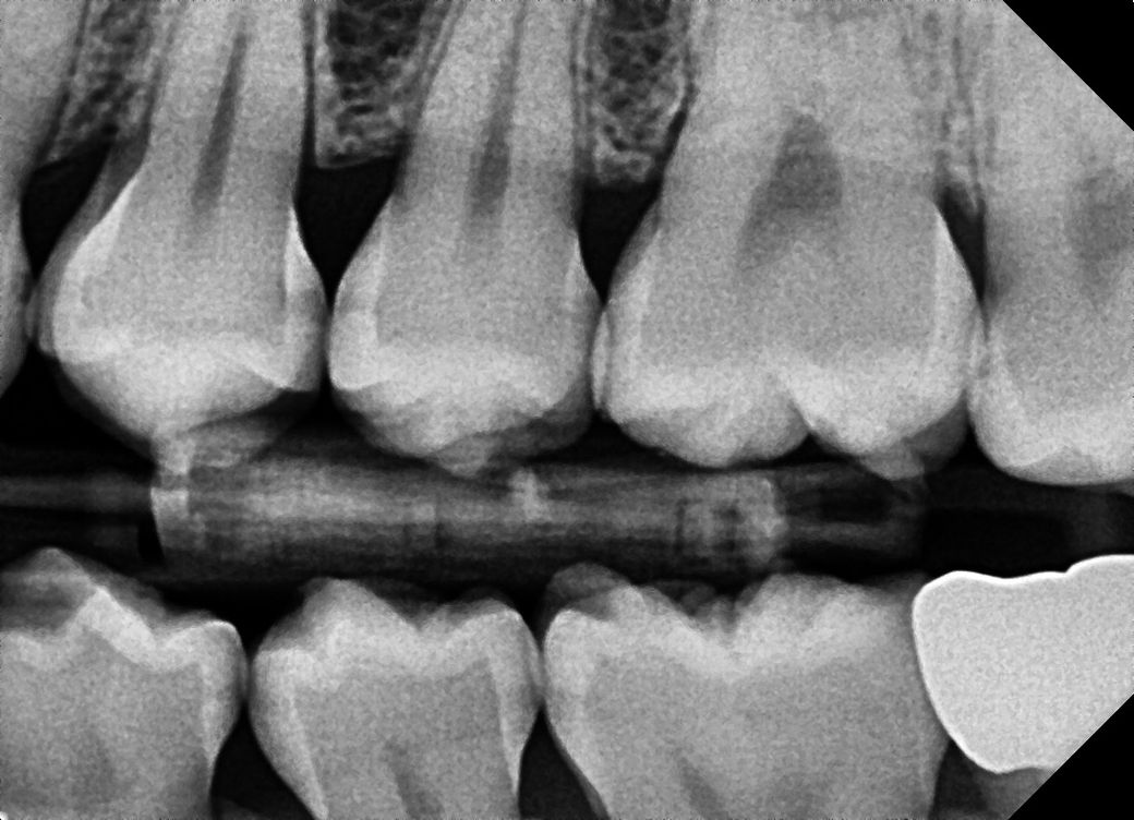
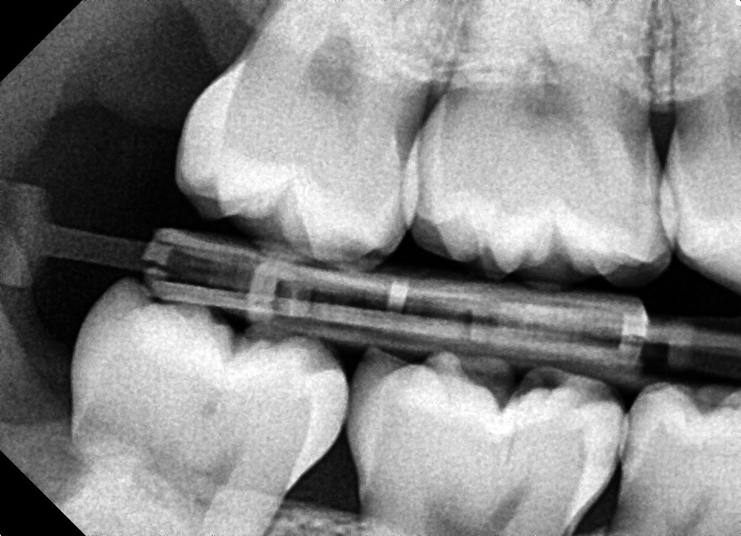
  • 1번 째 사진
  • 2번 째 사진
  • 3번 째 사진
  • 4번 째 사진
  • 5번 째 사진

4개의 답변이 있어요!

  • 김철진 치과의사

    김철진 치과의사

    가까운우리치과

    안녕하세요. 김철진 치과의사입니다.

    엑스레이 상으로는 인접면에 충치가 많이 있는걸로 보입니다. 일단 3개월정도 관리를 해보고 그때 가셔서 충치가 진행되면 치료를 진행하시고 관리가 잘되면 계속해서 관리를 해볼것같습니다.

  • 안녕하세요. 김지훈 치과의사입니다.

    정확한 검사는 따로 해봐야 겠으나 사진상으로는 명확히 충치가 여러군데에서 진행되고 있습니다.

  • 안녕하세요. 안상우 치과의사입니다.

    방사선 사진상으로는 작은 충치가 보이긴 하지만 정확한 확인을 위해서는 육안으로 확인을 해야 합니다. 하지만 방사선 사진상으로는 그렇게 큰 충치는 보이지 않습니다.

    작은 충치의 경우 관리를 하면 진행이 멈추는 경우도 있습니다.

  • 안녕하세요. 송우식 치과의사입니다.

    B 치과 말이 맞습니다. 충치 조금 있는 것은 지켜 보다가 더 진행되면 해도 됩니다. 아마도 A치과는 상담원이 상담했을 가능성도 있습니다.