아하
  • 토픽

  • 스파링

  • 잉크

  • 미션


의료상담

겁나자연친화적인부르주아

겁나자연친화적인부르주아

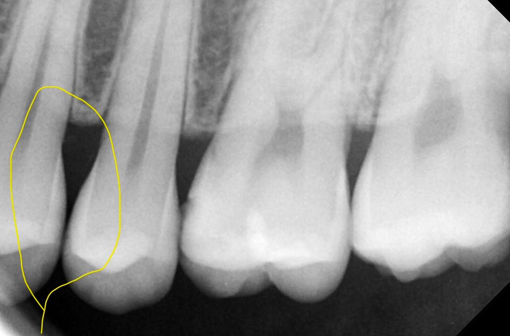
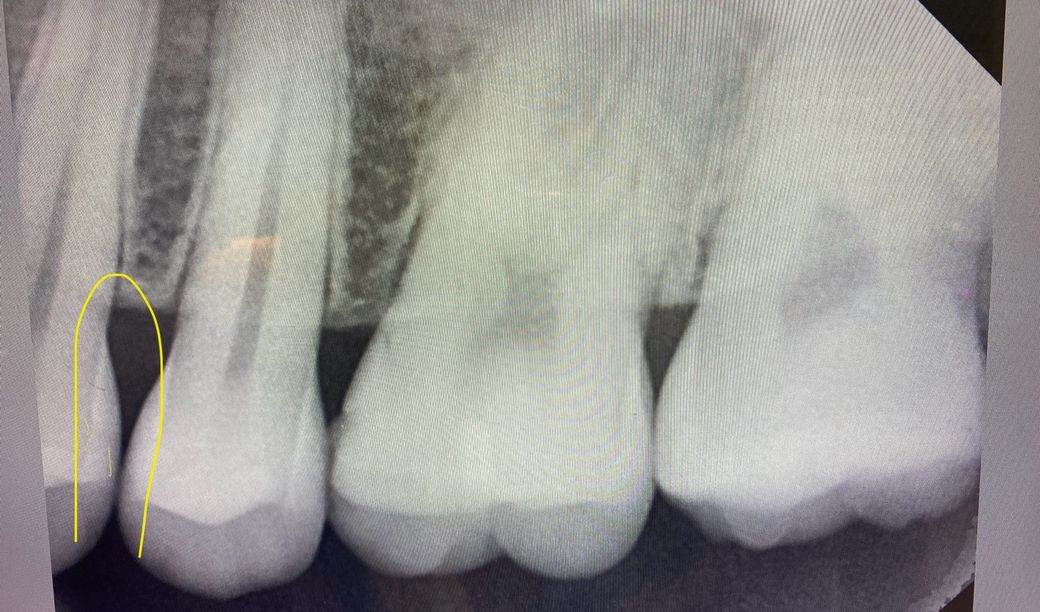
인접면 충치 의견이 갈리는데 치료 해야 될까요?

ㄱ 치과는 육안으로 보이고 엑스레이에선 잘안보여도

파보면 심할 수 있다 바로 인레이로 치료하자

ㄴ치과는 엑스레이 많이 촬영 해봤지만 깨끗하다

많이 상했다면 엑스레이에 이렇게까지 깨끗하지 않을거다 증상도 없고 음식물이 끼지 않는다면 지켜보자

둘다 맞는 말 같아서 오히려 혼란이 옵니다

총 4곳중 3곳은 하지말자고 하지만

하자는 치과가 너무 완강하게 치료를 해야된다고 해서

걱정이 심하게 됩니다 ㅠㅠ

  • 1번 째 사진
  • 2번 째 사진
  • 3번 째 사진
  • 4번 째 사진
  • 5번 째 사진

4개의 답변이 있어요!

  • 안상우 치과의사

    안상우 치과의사

    목동안치과의원

    안녕하세요. 안상우 치과의사입니다.

    사진으로는 치아인접면에 색이 변한 부분이 보입니다. 하지만 X레이 사진으로는 충치가 커 보이진 않습니다. 따라서 치실 등으로 해당 부위를 관리해 보는 것이 좋을 것으로 생각되며 주기적으로 치과에서 검진을 받아 충치가 커지고 있지 않은지 확인하는 것이 좋을 것으로 생각됩니다.

  • 안녕하세요. 김지훈 치과의사입니다.

    두가지 모두 맞지만 엑스레이를 조금 더 신뢰하는 편이기 때문에 조금 더 지켜보다 치료할 것 같습니다.

  • 안녕하세요. 김철진 치과의사입니다.

    엑스레이 상으로 치아 사이에 충치가 잇는거 같습니다. 크게 진행된 상태는 아니니 일단 관리를 하시면서 지켜보세요.

  • 안녕하세요. 최석민 치과의사입니다.

    1. 육안으로 봤을 때 충치가 보이는 상태 맞고, 안쪽으로 꽤 깊을 수도 있습니다. 방사선 사진에선 보이지 않는데요

    2. 아마도, 방사선 사진과 육안 사진이 다른 치아 위치로 보입니다. 확인 해보세요

    3. 방사선 사진은 왼쪽 위 작은 어금니 찍은거고, 육안 사진은 오른쪽 위 작은 어금니입니다.

    4. 진단에 대해서 혼란을 느끼신다면 대학치과병원을 가보시는 것도 좋습니다.