의료상담
고름생긴지 2년정도?로 오래되었는데 재신경치료할 필요가있을까요?
크라운한지 15년이넘었는데 해당치아에 피곤하면 고름이 생겼다 사라지고 반복된게 2년가량된거같습니다 크라운제거후 치아를 열었을때 치료안된뿌리가 있어 치료를 하더라도 이미 만성염증이되어 염증이안사라질거라생각되는데 임플란트를 문의해봐야할까요?
55글자 더 채워주세요.
4개의 답변이 있어요!
안녕하세요. 김지훈 치과의사입니다.
고름생긴지 2년정도?로 오래되었는데 재신경치료할 필요가있을까요?임플란트 해야할것 같습니다.
1명 평가안녕하세요. 김철진 치과의사입니다.
증상이 없으면 관리하시면서 사용하시면되지만 엑스레이 상으로 치아 뿌리끝에 염증이 심한거 같습니다. 발치를 해야될 가능성이 높아 보입니다.
1명 평가안녕하세요. 송우식 치과의사입니다.
크라운치료를한지 15년이 넘었고, 반복적인 고름이 생기는 상태는, 치아 안쪽에 염증이 생겼을 가능성 높기에 이 경우 염증이 깊으면 치료가 어렵거나 완전한 회복이 힘들 수 있습니다.
만성염증이 있고, 재신경 치료만으로 해결되지 않는 경우에는 임플란트 치료를 하는 것을 권하며, 크라운을 제거한 후 치아의 상태를 면밀히 검사하고, 뿌리의 염증 정도를 확인한 후 치료 방법을 정하는 것을 권합니다.
1명 평가안녕하세요. 최석민 치과의사입니다.
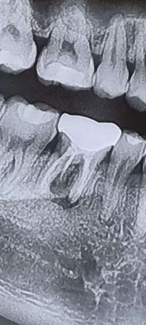
위 사진이 최신 엑스레이 사진일까요?
위 사진상으로도 잇몸뼈가 꽤 녹았습니다. 농양이 만성화되었다면 통증은 없더라도 잇몸뼈가 많이 녹은 상태일 겁니다.
재신경치료를 해도 염증이 잡히지 않을 확률도 있고, 임플란트를 하고자 하더라도 잇몸뼈 상태가 안 좋을 수도 있습니다.
1명 평가

