아하
  • 토픽

  • 스파링

  • 잉크

  • 미션


의료상담

여전히환한치즈라면

여전히환한치즈라면

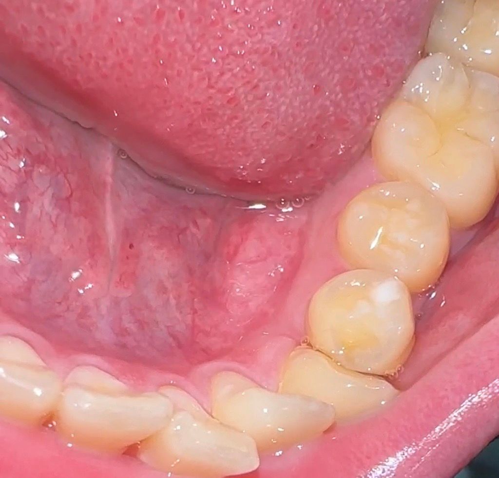
작은어금니 씹는면이 많이 닳은것같아요

잘때 이 악무는 습관때문에 마모가 생긴거같은데

이정도면 심한편일까요??

조금 시린느낌이 드는데 어떻게해야할까요

시린이치약을 써야되나요??

  • 1번 째 사진

4개의 답변이 있어요!

  • 안상우 치과의사

    안상우 치과의사

    목동안치과의원

    안녕하세요. 안상우 치과의사입니다.

    사진으로도 마모가 진행된것으로 보입니다.

    치아에 가해지는 힘이 너무 강하다면 마모가 심해질수 있기 때문에 마모를 줄이기 위해서는 치아에 가해지는 힘을줄여주는것이 좋습니다.

  • 안녕하세요. 송우식 치과의사입니다.

    사진상으로는 마모정도가 정확히 보이지는 않으나, 시린느낌이 드는 경우에는 크랙이나, 범랑질 손상의 가능성이 있습니다. 시린증상지속시에는 검사를 받고 확인해보길 권합니다.

    궁금증 해소에 도움이 제 답변이 도움이 되셨길 바라며, '👍' 눌러주시길 부탁드립니다.

  • 안녕하세요. 김지훈 치과의사입니다.

    약간 마모가 된 곳이 보이기는 합니다. 시린이 치약을 쓰는 것은 도움이 될 수도 있고 아닐수도 있습니다.

  • 안녕하세요. 최석민 치과의사입니다.

    시린 느낌이 다소 든다면 시린이 치약을 사용해보셔도 좋겠습니다 치아 마모는 중년이후로는 흔한 일입니다 식습관을 개선해보시는 것도 좋겠습니다