아하
  • 토픽

  • 스파링

  • 잉크

  • 미션


의료상담

기막히게흥미진진한살구나무

기막히게흥미진진한살구나무

24.07.08

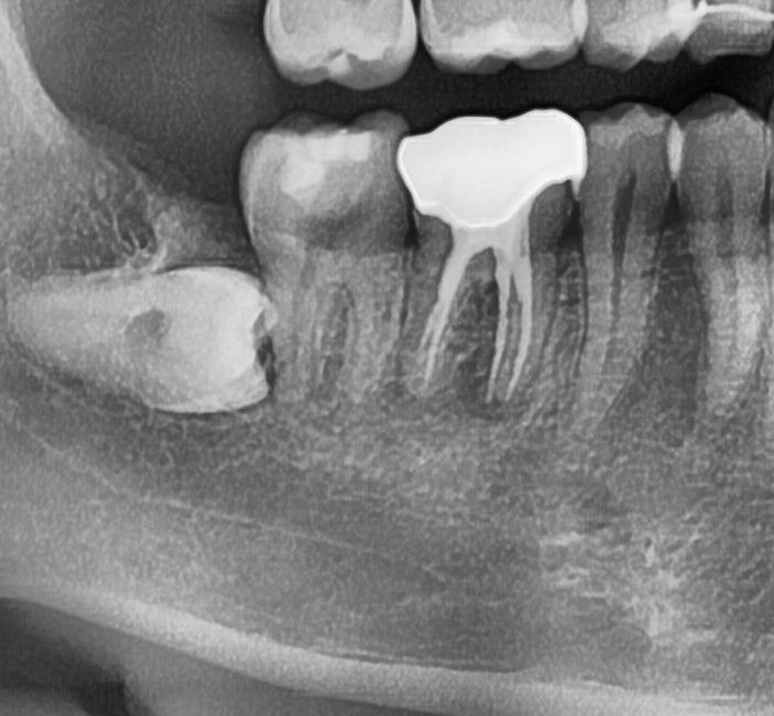
10년된 금니 잇몸이 내려가서 치아가 보여요.

10년된 금니가 잇몸이 내려가서 속의 치아가 보이길래 병원가서 엑스레이를 찍었는데.

뿌리에 염증이 있는건가요? 열어서 교체하는게 좋을까요?

  • 1번 째 사진

4개의 답변이 있어요!

  • 김철진 치과의사

    김철진 치과의사

    가까운우리치과

    24.07.09

    안녕하세요. 김철진 치과의사입니다.

    특별히 불편한게 없으시다면 그냥 상요하시거나 잇몸이 너무 많이 노출되엇다면 크라운만 교체를 하시는게 좋을것같습니다.

  • 안녕하세요. 안상우 치과의사입니다.

    6번 치아의 뿌리 쪽에 방사선 상으로 염증 소견이 보입니다.

    큰 불편감이 없다면 지켜볼 수 있지만 불편감이 있다면 재신경 치료가 필요할 수 있습니다.

    자세한 확인을 위해서 치과에서 진료를 받아 보는 것을 권유 드립니다.

  • 안녕하세요. 김지훈 치과의사입니다.

    염증이 있는 것인지 회복이 저렇게 된건지는 기존 자료 및 추가적인 자료가 필요합니다.

    해당 치과에 문의해보시는 게 좋겠습니다.

  • 안녕하세요. 최석민 치과의사입니다.

    네 사진상으로 근심뿌리쪽 염증잡혀있는 것 같습니다. 재신경치료 내지는 치근단절제술이 필요합니다.

    근심측 크라운 하방도 마진이 아주 정밀하진 않아 하방 이차충치가 있을 수 있습니다.

    그 뒤 어금니도 재평가가 필요합니다

    사랑니의 경우 완전매복인데 옆 어금니에 아주 겹쳐 있지는 않아서 발치를 꼭 해야 할 필요까지는 없을 것 같으나 필요하다면 ct를 찍어보고 판단합니다.