아하
  • 토픽

  • 스파링

  • 잉크

  • 미션


의료상담

대단한콘도르114

대단한콘도르114

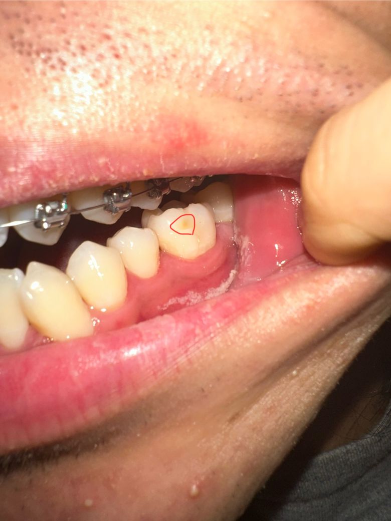
어금니 충치치료 후 레진 떨어진건지 봐주세요

어금니에 충치 제거하고 레진으로 떼웠는데 움푹 파인 부분이 있는데 레진이 떨어진걸까요..?

이가 시리거나 하는 부분은 없습니다

  • 1번 째 사진
  • 2번 째 사진

4개의 답변이 있어요!

  • 김지훈 치과의사

    김지훈 치과의사

    메가

    안녕하세요. 김지훈 치과의사입니다.

    레진이 떨어졌을 수도 있어보입니다. 치과에 말씀하시면 재치료 해줄 것으로 예상됩니다.

  • 안녕하세요. 김철진 치과의사입니다.

    예전에 치료햇던부분이 떨어져 나간거 같습니다. 치과에 가셔서 다시 레진으로 떼우시면될것같습니다.

  • 안녕하세요. 송우식 치과의사입니다.

    현재 시리거나 불편감이 없는 경우에는 떨어졌을 가능성은 낮으나 육안으로 확인이 어려운 경우도 많이게 보다 정확한 상태 확인을 위해 치과 진료를 받고 확인해보길 권합니다.

    만족스러운 답변되셨으면 합니다.

    평가 감사합니다

  • 안녕하세요. 최석민 치과의사입니다.

    중합이 덜된 경우 한겹 떨어졌을 수 있으나 크게 홈이 파인게 아니므로 특별히 문제는 없을 것 같습니다 음식물이 많이 끼는 부위도 아니고요