아핫뉴스실시간 인기검색어
아핫뉴스 화산 이미지
화산 아이콘 11
검찰 비트코인 700억 분실
아하

의료상담

치과

우주달나라
우주달나라

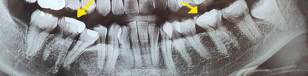
엑스레이 ct로 신경치료 여부...

금으로 인레이되어있는 치아 크라운으로 재치료전에 엑스레이? ct로 신경치료해야하는지 알수있나요?

충치여부에 따라 신경치료 기간이 달라지나요?

  • 1번 째 사진
4개의 답변이 있어요!
  • 안녕하세요. 안상우 치과의사입니다.

    사진으로만 봤을 경우에는 치근단 질환이 있어 보이지는 않습니다. 특별한 통증이 없다면 굳이 CT를 촬영해야 할 필요는 없을것으로 생각됩니다.

    1명 평가
  • 안녕하세요. 김철진 치과의사입니다.

    엑스레이 상으로는 확인이 불가능하고 저상태에서는 직접 제거를 해봐야 알수 잇을것같습니다.

    1명 평가
  • 안녕하세요. 최석민 치과의사입니다.

    1. 인레이 치료 시 신경노출을 피하기 위해 기저재도 깔고 그랬지만 신경과 가까워 치수염이 유발되었을 수도 있고 비가역적인 치수염은 신경치료 합니다

    2. 비가역적 치수염 상태는 꼭 ct로 판단하는것보다는 증상체크가 중요합니다

    1명 평가
  • 안녕하세요. 김지훈 치과의사입니다.

    금 인레이가 되어 있는 치아의 정확한 진단을 위해선 추가적인 촬영이 필요할 수 있고 기간이 달라지진 않습니다.