아하
  • 토픽

  • 스파링

  • 잉크

  • 미션


의료상담

심플한돌고래

심플한돌고래

24.08.30

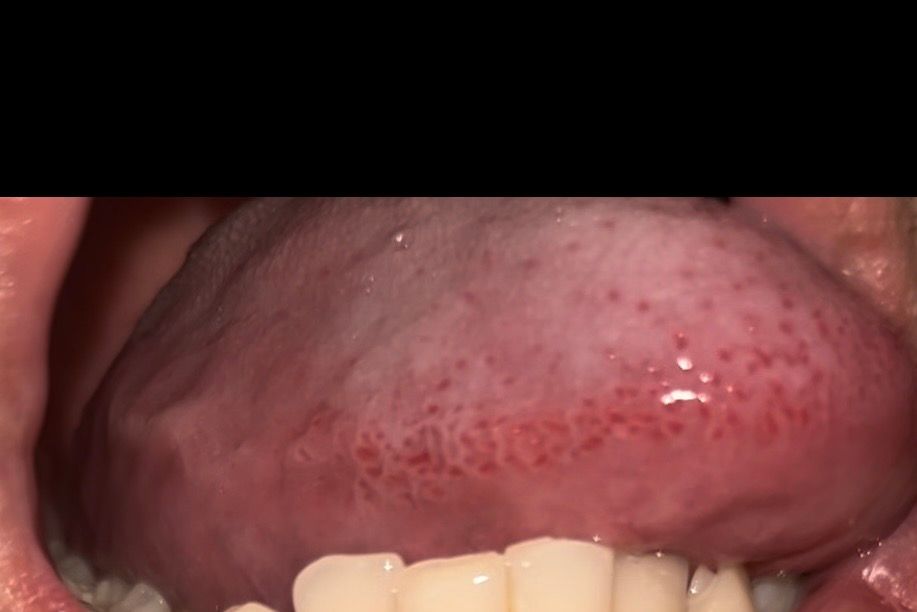
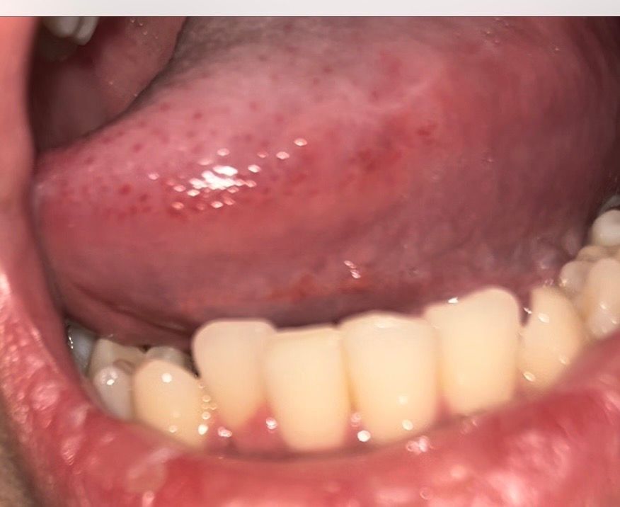
구강 건강 구내염 구강편평태선 괜찮은건가요

이 여드름 같은 건 뭘까요ㅜ

요즘 공부하느라 잠 많이 못 자서 그런지 아니면 깨물었던 건지 구내염이 생겼네요 찾아봤는데 편평태선 이라는 것도 있더라고요 혀 옆면에 붉은 반점 같은게 저렇게 있는데 맞나요? 뭐죠 저게ㅜ 어릴때부터 있었던 거 같아요 또 그냥 구강 상태 괜찮은건가요 20대 초반 흡연자입니다ㅜ 걱정되네요

  • 1번 째 사진
  • 2번 째 사진
  • 3번 째 사진
  • 4번 째 사진
  • 5번 째 사진

3개의 답변이 있어요!

  • 송우식 치과의사

    송우식 치과의사

    솔플란트치과 경기도 성남시 모란역

    24.08.30

    안녕하세요. 송우식 치과의사입니다.

    현재 사진상 입안에 구내염이 생긴것으로 보입니다. 시간이 지나면 저절로 낫게 되나, 염증이 덧나지 않도록 헥사메딘 가글액과 같은 가글액으로 소독하여 주길 권합니다.

    궁금증 해소에 도움이 되고,

    답변이 만족스러우셨길 바라며, <⭐⭐⭐⭐⭐> 감사합니다.

  • 안녕하세요. 안상우 치과의사입니다.

    사진으로만 봤을 경우에는 혀조직에 염증이 생긴것으로 보입니다.

    몸이 피곤하거나 면역력이 떨어지게 되면 점막조직등에 염증등이 생길수 있습니다.

    큰 문제가 아닌것으로 생각되지만 불편감이 크거나 걱정이 되신다면 치과에서 진료를 받아 보세요.

  • 안녕하세요. 김철진 치과의사입니다.

    피곤해서 생긴 구내염같습니다. 큰 문제가 잇는건 아니니 걱정하지 않으셔도 될것같습니다.