아하
  • 토픽

  • 스파링

  • 잉크

  • 미션


의료상담

가장보고싶은토스트

가장보고싶은토스트

치아 누르면 미세한 통증 있지만 치과 가면 이상 없다고 합니다.

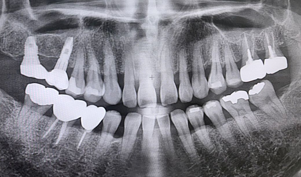
차례로 24년 8월 엑스레이와

25년 11월 엑스레이 입니다.

사진상 왼쪽 신경치료된 어금니가

저작시는 괜찮은데 옆으로 뉴르면 미세하게

아파요.

위로 누르면 안아파요

치과를 가봐도 신경치료 잘됐고(2-3년됨)

큰 이상 없대는데 ㅠㅠ

신경쓰여서요.정말 괜찮는건가요??

  • 1번 째 사진
  • 2번 째 사진

4개의 답변이 있어요!

  • 김지훈 치과의사

    김지훈 치과의사

    메가

    안녕하세요. 김지훈 치과의사입니다.

    사진상으로는 크게 문제가 보이지는 않습니다만 계속 불편하다면 재신경치료 해야할 수 있습니다.

  • 안녕하세요. 김철진 치과의사입니다.

    치아를 옆면에서 미는건 굉장히 치아에 안좋습니다. 지속적으로 치아를 옆에서 밀면 치아가 예민해져서 그럴수도 있습니다.

  • 안녕하세요. 최석민 치과의사입니다.

    잔존 신경이 약간 남아있다면 그럴 수 있습니다 재신경치료를 해볼 수 있습니다 좀 더 신경관을 확대해서 세척해보는 겁니다

  • 안녕하세요. 안상우 치과의사입니다.

    사진으로는 치아에 특별한 문제가 없어 보입니다. 치아에 통증이 있는 원인은 여러가지가 있을수 있습니다 외부로 보이는 이상이 없음에도 불구하구 불편감이 있다면 치아에 금이 갔거나 했을수 있습니다. 치아에 금이 간 경우에는발치를 해야하는 상황이 발생할수도 있습니다.