아핫뉴스실시간 인기검색어
아핫뉴스 화산 이미지
화산 아이콘 11
비트코인 9만5000달러대 조정
아하

의료상담

치아 관리

젊은쿠스쿠스32
젊은쿠스쿠스32

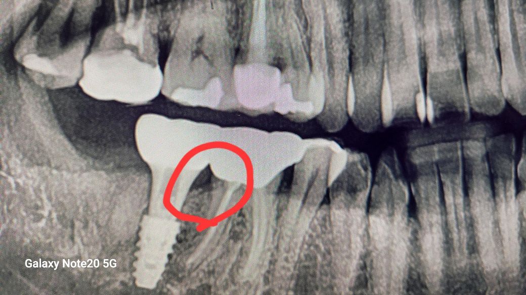
임플란트하면 그부위로는 평생 고기 못먹나요?

40세남자입니다. 우측아래어금니를

임플란트치료 완료한지 한달되었는데

얼마전 그부위로 씹을때마다 잘끼고 결국 염증이생겨서 다시 그치과갔는데 임플란트한것은 문제없고 그밑의 공간이커서 음식물이 잘끼일수밖에 없다고 잘관리해주는 방법뿐이라는 답을받았는데 고기뿐아니라 나물같은것. 그부위로 과자같은것도 씹어먹을때도 통증있는데, 그럼그부위로는 거의못씹나요? 치료부위가 원래 염증이 엄청심하긴했습니다.

  • 1번 째 사진
4개의 답변이 있어요!
  • 안녕하세요. 안상우 치과의사입니다.

    보철물을 하고 난 다음에 음식물이 끼어 통증이 있다면 보철물의 인접면이 헐겁게 닿고 있다는 것입니다.

    이런 경우 보철물을 교체해서 해당 부위에 음식물이 위에서 들어가지 않도록 해야 합니다.

    옆으로 들어가는 음식물의 경우에는 통증을 유발하지 않기 때문에 관리를 하면서 사용할 수 있지만 그렇지 않은 경우에는 보철물을 다시 제작하거나 수정해야 할 수 있습니다.

  • 안녕하세요. 한성미 치과위생사입니다.

    잇몸에 염증이 있는 상태에서는 음식을 먹으면 당연히 아픕니다. 정상임플란트라면 고기 씹으실 수 있습니다. 잇몸치료를 먼저 받으시고 낫기 전까진 반대편으로 부드러운거 위주로 드세요. 그리고 치과에서 안내드린 대로 임플란트는 밑둥이 얇아서 원래 아랫쪽에 공간이 크게 생기고, 그래서 음식물이 원래 잘 끼입니다. 돈주고 수술했다고 해서 본인치아처럼 편하게 사용할 수 있다고 생각하시면 안됩니다. 원래 내 몸 내것은 돈주고도 못사는 것인데 기술이 발달해서 운좋게 임플란트라도 할 수 있는 것입니다. 인공관절수술한 무릎을 원래 내 건강하던 무릎처럼 사용하면 안되듯이, 치아도 인공치아이기 때문에 내 원래의 건강하던 치아처럼 막 쓰시면 안됩니다. 음식물 끼일 때마다 염증 안생기게 잘 빼주시고, 잘 닦아쓰시고, 큰 음식은 잘라드시고, 너무 단단하고 질긴 음식은 피하시면서 써야합니다. 그렇게 관리하면서 쓰셔야 김치나 고기도 과자 등등을 오랫동안 잘 씹어드실 수 있습니다.

  • 안녕하세요. 최석민 치과의사입니다.

    엑스레이상 임플란트 부위 염증이 있는 것으로 보이진 않습니다만 교합시 지속적인 통증이 있다면 골유착이 안된 것일 수도 있습니다

  • 안녕하세요. 장인아 치과위생사입니다.

    임플란트는 치주인대가 없기 때문에 딱딱하거나 질긴음식을 감당해 낼수가 없습니다. 항상 주의하여 저작하면 좋을것 같습니다. 건강하세요.