아하
  • 토픽

  • 스파링

  • 잉크

  • 미션


의료상담

모레도공부하는된장찌개

모레도공부하는된장찌개

충치진단 및 임플란트 필요성 꼭 답변부탁드려요

20대 여성인데 이빨이 작고 이빨이 촘촘해 이뮬질 제거가어려워 어렸을때부터 치과 많이다녔습니다

돈이없는데 갑자기 몇백만원 견적받고 혼란스러워서 문의남깁니다ㅠㅠ

현재 치실도 잘 사용하고있었는데 1년만에 스케일링하러갔더니 충치가 2~3곳에서 발견됐다고해요 심지어 초기충치도 아니고 각각 최소 재신경치료에 발치+임플란트까지....

치과 여러곳 돌아다녔는데 각각 충치로 판단해주시는 부위가 2곳이다 3곳이다 각각 말씀이 달라져서...

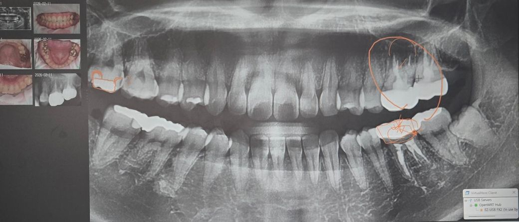
해당사진은 마지막에 갔던 치과에서 진단받은내용입니다

왼쪽부터 인접면(재신경치료) , 오른쪽상하단 발치및 임플란트 고려해볼필요있다고 하셨습니다;

충치3곳이 맞나요? 오른쪽 상단 말고는 통증도 없었습니다....

그리고 한번에 치료가 어려워서 오른쪽상단 먼저 까보고 추후 다른곳 치료가 필요한상황이라고 하였는데 3개월뒤에 치료하게되면 충치 진행이되어 더 안좋을까요? 그리고 젤 급한곳이 어딘지 말씀부탁드립니다......

  • 1번 째 사진
  • 2번 째 사진

1개의 답변이 있어요!

  • 최석민 치과의사

    최석민 치과의사

    강원도 원주의료원

    안녕하세요. 최석민 치과의사입니다.

    엑스레이상 표시된 부위는 충치로 의심되는 상황은 맞습니다 왼쪽은 신경치료가 되어있으니 추가로 충치가 생겨도 통증은 없을 수도 있고요

    일단은 오른쪽부터 차근차근 치료받아보세요 어차피 양쪽 다 한번에는 힘들어서 못합니다

    왼쪽도 염증으로 잇몸뼈가 녹고 있는 양상이나 아주 급격하게 악화되고 그러진 않을것 같네요