아하
  • 토픽

  • 스파링

  • 잉크

  • 미션


의료상담

space66

space66

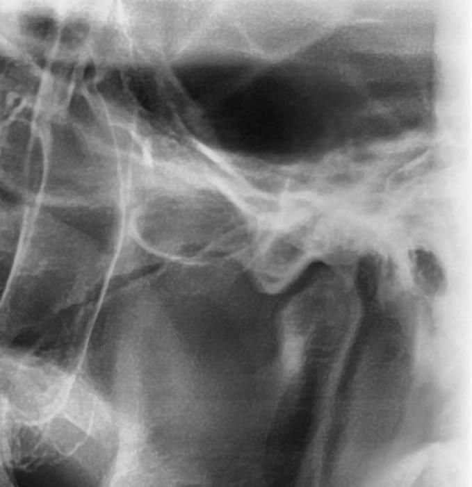
턱 관절 과두 상태 전 후 상태 한 번 봐주세요

최근에 턱 관절 통증 때문에 사진을 한 번 찍어 봤는데요 예전 사진과 비교 했을 때 어떤지 한 번 봐주시겠어요?

어떤 문제가 있는지 상세히 알려주시면 감사하겠습니다

사진1,2가 전이고 3,4가 후 입니다

  • 1번 째 사진
  • 2번 째 사진
  • 3번 째 사진
  • 4번 째 사진

2개의 답변이 있어요!

  • 김철진 치과의사

    김철진 치과의사

    가까운우리치과

    안녕하세요. 김철진 치과의사입니다.

    엑스레이 상으로도 턱관절이 좋아 보이진 않습니다. 일단 구강내과를 가셔서 턱관절 정밀검사를 받아보시고 치료를 받으시는게 좋을것같습니다.

  • 안녕하세요. 안상우 치과의사입니다.

    파노라마 사진으로는 턱관절을 정확하게 진단하기는 어렵습니다. 과두부분이 평평하게 되어있는 모양으로 유추해 봤을때 과두에 강한힘이 오래동안 작용했을수 있습니다. 턱관절질환은 턱관절에 가해지는 힘이 강해서 생기기 때문에 턱관절에 가해지는 힘을 줄이는것이 좋습니다.