아핫뉴스실시간 인기검색어
아핫뉴스 화산 이미지
화산 아이콘 11
정청래 이해찬 별세
많이 본
아하

의료상담

치과

한결같이여린제육볶음
한결같이여린제육볶음

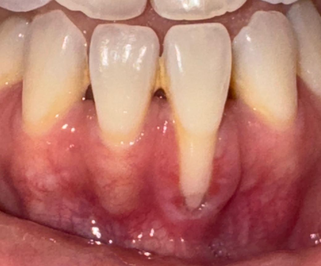
잇몸퇴축이 심한상태인데 치료가 가능할까요

치과를 3년 정도 못가고 있었어요 교정 후 잇몸퇴축이 저부분이 원래 심한상태였는데 며칠전부터 입술로 누를 때만 살짝 통증이 있어서 자세히 확인해보니 아랫부분이 퇴축이 더 심해져 있어요..치은염이나 치주염도 온걸까요? 피는 안나요 사진찍어보고 치석도 많은걸 이제알았네요 이번달 안으로는 치과를 가려고 하는데 이를 뽑지 않아도 치료가 가능한 상태일까요 너무 무섭네요..잇몸 이식 수술을 해야하나요..?
답변 해주시면 너무 감사하겠습니다

  • 1번 째 사진
1개의 답변이 있어요!
  • 안녕하세요. 최석민 치과의사입니다.

    일단 치석이 너무 많네요 관리가 잘 안되고 있는 것 같습니다 스케일링, 잇몸치료하고 잇몸이식술 고려해보세요