의료상담

침샘위축, 침샘염증이 있는데 밥만먹고 나면 귀 이갑개가 간지럽습니다

성별

남성

나이대

40

기저질환

없음

복용중인 약

부신피질호르몬제 (소론도정)

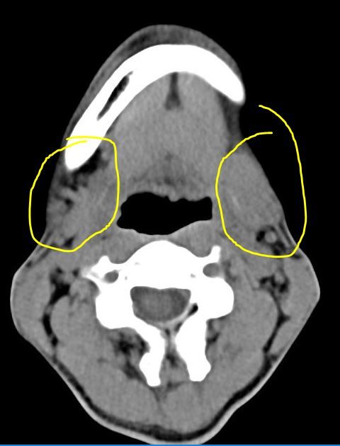
8월부터 밥먹을때마다 턱밑 침샘이 붓길래 이비인후과 가서 ct 검사해보니 타석증이 있다고합니다

그리고 침샘위축이 됐고 침샘염증이 있다고합니다

8월부터 증상이 밥먹고 나면 침샘이 붓고 귀 이갑개가 간지럽기 시작합니다.. 지금은 너무 긁어서 딱지가 질 정도입니다.. 또 턱뺨이 저린 증상도 같이 생겼습니다

그래서 타석증으로 인한 침샘염이 문제인가 싶어 2주전에 타석증 수술을 했습니다

여전히 턱뺨이 저린증상과 밥먹고 나면 귀가 간지러운 증상이 있습니다..

이비인후과 교수님께 침샘염과 위 증상이 관련있나 물어봤는데 자기가 봐온 타석증 환자중 처음있는 케이스라고 하네요 보통 관련이 없다고 하시네요

제생각에는 침샘염증이 혈관타고 귀로 가서 간지러움이 나타나는게 아닌가 싶거든요..

턱뺨 저린것도 침샘염증이 턱신경 주위 건드려서 그런게 아닌가 하는 생각도 들고요..

지식인 검색해보니 어떤분도 침샘염증으로 인해 턱 뺨이 저린분도 계시더라구요

  • 1번 째 사진
  • 2번 째 사진

아직 답변이 없어요.