의료상담
사랑니 발치 질문합니다. 엑스레이 사진 첨부해서요 ?
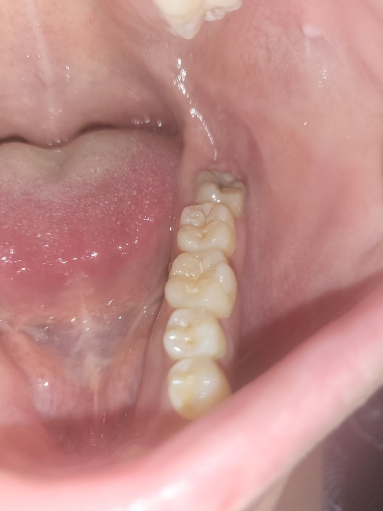
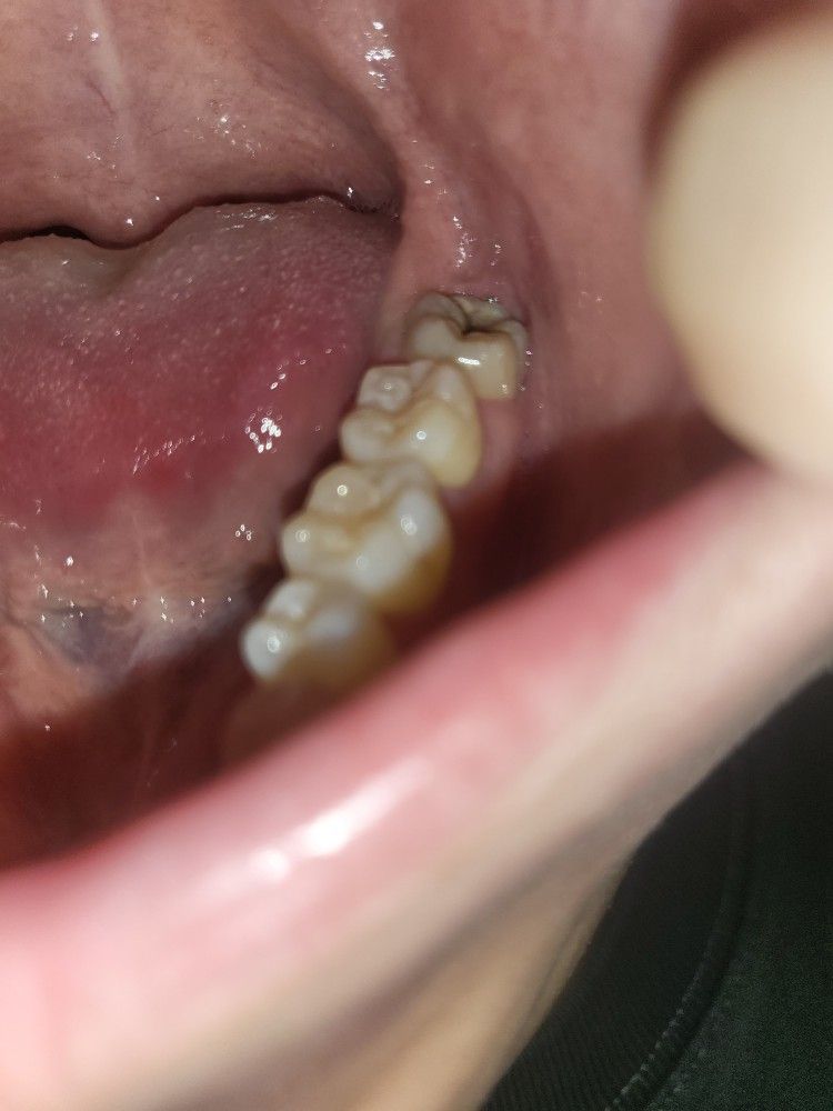
교정을 위해 사랑니를 뺴려고 합니다... 찾아보니 사랑니는 잇몸을 쨰고 뺴면 마취 풀린후 통증이 매우 심하다고 다들 그러네요..
저는 잇몸을쨰고 빼야하는지 궁금합니다. 나이는 25살 남자입니다.
55글자 더 채워주세요.
3개의 답변이 있어요!
안녕하세요. 최석민 치과의사입니다.
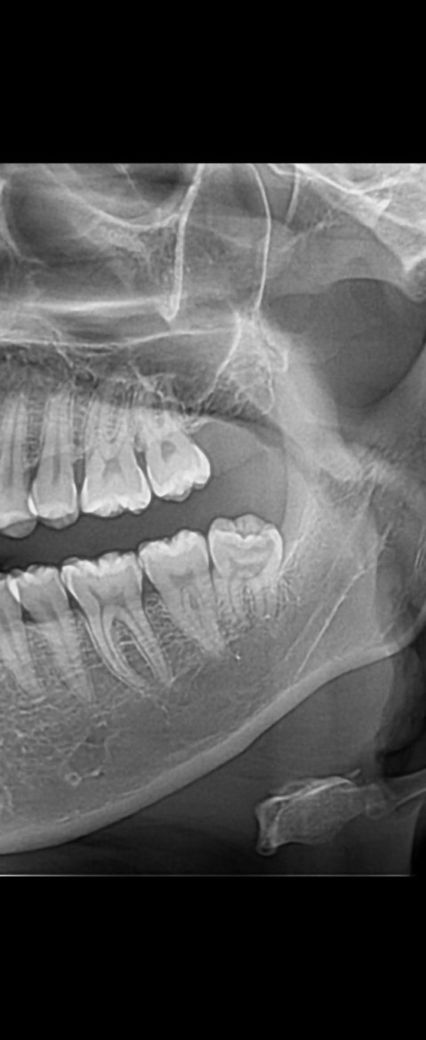
잇몸 굳이 안째고도 빼는 것 가능할 것 같습니다
잇몸을 째야 하는 케이스는 발치 기구가 치아 풍융부(불룩한부분) 직하방으로 들어가지 못해 지렛대 원리를 이용하지 못하는 경우입니다
안녕하세요. 송우식 치과의사입니다.
이미 사랑니가 나와 있는 상황에서는 잇몸을 절개하지 않고 발치가 가능합니다.
궁금증 해소에 도움이 되시길 바라며, 도움이 되신 경우 '추천' 부탁드립니다.
안녕하세요. 김철진 치과의사입니다.
잇몸을 절개 하지 않고 발치를 해되 될것같습니다. 크게 통증이 잇을 사랑니는 아니니 너무 걱정하지마세요.

