아하
  • 토픽

  • 스파링

  • 잉크

  • 미션


의료상담

유난히호기심있는모과

유난히호기심있는모과

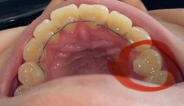
치아 뿌리가 만져져요 (현재 안쪽 교정 철사줄 하는 중)

딱딱한 걸 먹다가 갑자기 탁 걸리더니

사진처럼 안에 교정장치가 빨간 줄 친 곳에 똑 떨어지더니 치아 뿌리에 빈공간이 느껴져요 이건 어떻게 치료하나요ㅠㅜㅜㅠㅠㅠ 20대 초반입니다

  • 1번 째 사진
  • 2번 째 사진

3개의 답변이 있어요!

  • 김지훈 치과의사

    김지훈 치과의사

    메가

    안녕하세요. 김지훈 치과의사입니다.

    유치장치가 떨어진 것으로 보입니다. 치과 가셔서 검사 받으시고 처치 받으시면 됩니다..

  • 안녕하세요. 안상우 치과의사입니다.

    음식을 먹다가 교정 유지. 장치가 떨어졌다면 교정 유지. 장치를 다시 부착하거나 다시 제작을 하는것이 좋습니다. 교정을 했을 경우 유지장치가 탈락되면 치아가 이동하게 되고 치열이 어긋날 수 있기 때문입니다. 자세한 확인을 위해서 교정치과에서 진료를 받아보는 것을 권유드립니다.

  • 안녕하세요. 김철진 치과의사입니다.

    치아가 깨진거 같은데 치아 부위가 옆면이라 인레이 치료를 해야될꺼 같으니 치과에 가셔서 상담을 받아보세요.