아핫뉴스실시간 인기검색어
아핫뉴스 화산 이미지
화산 아이콘 11
이제훈 모범택시3 연기대상
아하

의료상담

치과

비상한사마귀48
비상한사마귀48

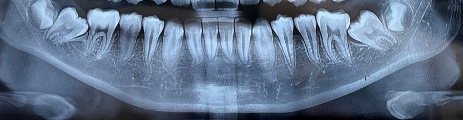
아래둘째어금니가 누워서 났어요. 다니던 치과에선 맨 마지막 사랑니들을 빼고 둘째어금니를 세우는 교정을 해야한다 하시네요.



아래둘째어금니가 누워서 났어요. 다니던 치과에선 맨 마지막 사랑니들을 빼고 둘째어금니를 세우는 교정을 해야한다 하시네요.

둘째어금니가 똑바로 올라올 확률은 없을지 엑스레이사진좀 봐주세요..(왠만하면 사랑니발치도 교정도 안하고 싶거든요.. 아이가 너무 무서워해요..)




  • 1번 째 사진
3개의 답변이 있어요!
  • 안녕하세요. 정진석 치과의사입니다.

    현재 사진으로서는 아래의 마지막 7번 치아가 누워 있으며 6번 치아에 걸려 있습니다. 이를 끌어올리기 위해서는 공간이 필요하며 뒤에 있는 치아를 제거해주셔야 합니다. 지금으로서는 교정적으로 커버하기 위해서는 뒤에 치아를 발치할 방법 밖에 없습니다.

    아무쪼록 저의 답변이 문제 해결에 작게 나마 도움이 될 수 있기를 기원드립니다. 항상 건강하고, 행복하세요^^

    정진석 치과의사 드림

  • 안녕하세요. 김철진 치과의사입니다.

    가장뒤 어금니가 앞니에 걸려서 맹출이 되지 않고 잇는거 같습니다. 저런경우에는 어금니를 교정으로 맹출시켜야될것같습니다.

  • 탈퇴한 사용자
    탈퇴한 사용자

    안녕하세요. 장인아 치과위생사입니다.

    자연적으로 바르게 되기는 어렵고 사랑니를 발치하고 둘째 어금니는 교정을 통해 개선될수 있습니다.

    도움이 되기를 바랍니다. 건강하세요.