아하
  • 토픽

  • 스파링

  • 잉크

  • 미션


의료상담

어쩐지잠이없는감나무

어쩐지잠이없는감나무

구강매독 증상 일까요 도와주세요..

성별

남성

나이대

21

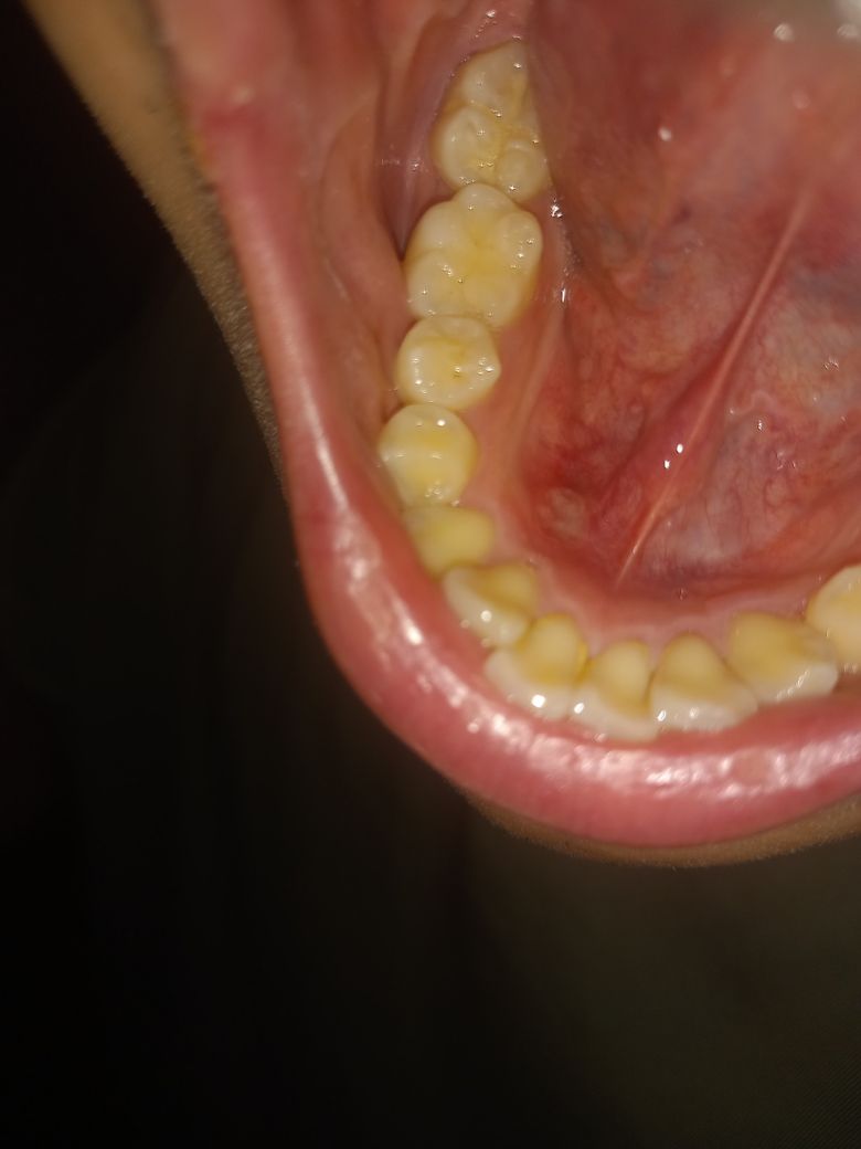
처음엔 구내염인줄 알았는데 난 지 10일이 좀 넘어서요 혹시 구강 매독일 가능성이있을까요 소변성병검사는 2일전에 받았고

검사는 금요일날 나옵니다 혹시 매독일까요 이번검사에서 매독 음성이 뜨면 안심해도될까요 사진상에 구강 매독 증상이나 궤양이 있을까요 소변검사는 위음성일 가능성이 큰가요

  • 1번 째 사진
  • 2번 째 사진

1개의 답변이 있어요!

  • 신성현 내과 전문의

    신성현 내과 전문의

    서울에이스내과의원 (개원예정)

    사진을 통해 구강의 상태를 확인한 결과, 구내염과 유사한 궤양이 보이긴 하지만, 구강 매독의 가능성이 높아 보이지는 않습니다. 구강 매독은 초기 단계에서 무통성 궤양(경성 하감)이 나타나는 것이 특징이며, 시간이 지나면서 발진이나 다른 심각한 증상이 나타날 수 있습니다.

    이미 소변 성병 검사를 받으셨다면, 금요일에 결과가 나오기 전까지 기다리고 확인하시고 그전에는 우선 안심하시고 경과를 보시기 바랍니다. 소변 검사 결과가 음성으로 나온다면, 이는 매독의 가능성은 낮습니다. 매독에 대해 더 정확히는 혈액검사를 통해 검사를 하셔야 합니다.