아하
  • 토픽

  • 스파링

  • 잉크

  • 미션


의료상담

활달한거북이38

활달한거북이38

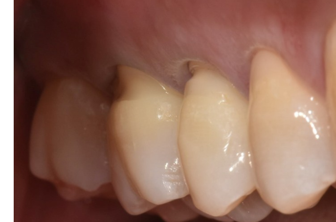
치아 옆에 패인 것은 치료를 해야하나요?

어금니 옆 쪽 밑이 패였습니다. 차가운 거 먹거나

칫솔이 닿으면 조금 시리네요~ 이거 치료해야 하나요?

만약 치료한다면 어떻게 치료하나요?

(아래 사진은 제 치아와 비슷한 증상이 있는 치아를 참조했습니다.)

  • 1번 째 사진

6개의 답변이 있어요!

  • 내마음가는대로룰루랄라니나노

    내마음가는대로룰루랄라니나노

    안녕하세요. 한성미 치과위생사입니다.

    치아가 패이면 차료하셔야합니다. 간단히 떼워주시면 되고 재료는 보통 보험재료인 GI와 비보험 재료인 레진이 있습니다. 강도나 색상, 가격 면에서 차이가 있으니 장단점을 고려하여 선택하시면 됩니다.

  • 안녕하세요. 송우식 치과의사입니다.

    이런 것을 치경부 마모증이라고 마모의 범위의 크고 깊을 경우 치아색깔나는 재료로 메

    꾸는 치료해야 합니다.

  • 안녕하세요. 김철진 치과의사입니다.

    치경부 마모증이라고 합니다. 치아의 목부위가 패여서 시린증상이 나타납니다. 많이 시리시면 치과에 가셔서 메꾸는 치료를 하시는게 좋습니다.

  • 탈퇴한 사용자

    탈퇴한 사용자

    안녕하세요. 장인아 치과위생사입니다.

    치아와 잇몸 사이 경계부분이 마모되는 치경부 마모증은..강한 힘으로 좌우로 닦는 잘못된 칫솔질의 원인이 많으며..칫솔질을 상하로 부드럽게 닦아줘야 합니다..레진 수복을 통해 개선될수 있습니다.

    도움이 되기를 바랍니다. 건강하세요.


  • 안녕하세요. 김지훈 치과의사입니다.

    치료를 하셔야하며 레진이나 글래느아이오노머 같은 치과 재료를 이용해 메꾸셔야 합니다.

  • 안녕하세요. 정진석 치과의사입니다.

    말씀하시는 것은 잘못된 양치 습관이나 치아 저작 힘에 의해서 파절된 것으로 해당 부위를 레진이나 GI 등으로 수복해주는 것이 필요합니다. 즉 간단히 해당 부위를 재료로 수복하게 되면 지금의 시린 증상은 대부분 해결됩니다.

    아무쪼록 저의 답변이 문제 해결에 작게 나마 도움이 될 수 있기를 기원드립니다. 항상 건강하고, 행복하세요^^

    정진석 치과의사 드림