아핫뉴스실시간 인기검색어
아핫뉴스 화산 이미지
아하

의료상담

치과

가끔출세한진돗개
가끔출세한진돗개

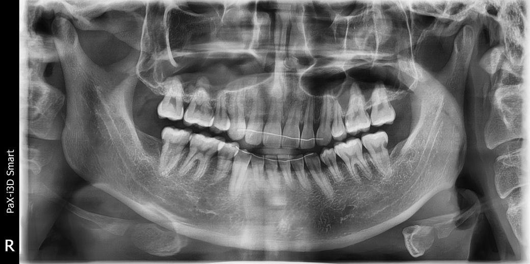
충치 갯수는 몇개인가요??????

같은 파노라마 사진으로 다른 질문을 드려요!

사진상 충치는 정확히 2개 맞을까요?

아랫니 양쪽 끝 1개씩이요

혹시 더 있다면 알려주시면 감사드리겠습니다 ㅠ

  • 1번 째 사진
3개의 답변이 있어요!
  • 안녕하세요. 김지훈 치과의사입니다.

    충치가 몇개 관찰이 되지만 파노라마 사진 한장만으로 충치를 진단해드리기는 어렵습니다.

  • 안녕하세요. 김철진 치과의사입니다.

    아래 양쪽 젤 뒤 어금니 뒤쪽에 충치가 잇는거 같습니다 불편하시면 치료를 하시는게 좋을것같습니다.

  • 안녕하세요. 최석민 치과의사입니다.

    파노라마 사진상 보이는 충치는 양쪽 아래 맨끝 어금니 2개 뒷면이고요 사진상 왼쪽 위 첫번째 큰 어금니 옆면도 충치가 의심되나 정확한건 작은 치근단 사진을 찍어봐야합니다