아하
  • 토픽

  • 스파링

  • 잉크

  • 미션


의료상담

풋풋한무당벌레288

풋풋한무당벌레288

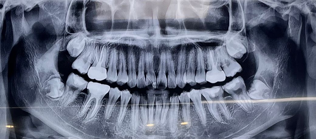
치과 파노라마 사진 보고 큰 충치 있는지 알고 싶습니다

양쪽 아래 어금니 사이 작은 인접면 충치가 있다는 건 들었어요

혹시 그 이외에 접합부 충치, 신경치료 해야할 충치 등 큰 충치가 있는지 알고 싶어요

특히 앞니, 그리고 양쪽 어금니요

제발 부탁드립니다

  • 1번 째 사진

2개의 답변이 있어요!

  • 김철진 치과의사

    김철진 치과의사

    가까운우리치과

    안녕하세요. 김철진 치과의사입니다.

    위 앞니의경우는 예전에 치료를 받으신 부위인데 치아 상태에 따라서 신경치료를 하셔야될수도 잇을것같습니다. 그리고 양쪽 아래 어금니도 사이에도 충치가 있긴있습니다.

  • 안녕하세요. 안상우 치과의사입니다.

    오른쪽위에 어금니의 인접면에 음영이 보이고 있습니다

    그이와에므누파노라마 보다 육안으로 확인을 해야 충치여부를 정확하게 알수 있을것으로 생각 됩니다.