아하
  • 토픽

  • 스파링

  • 잉크

  • 미션


의료상담

고혹적인레오파드15

고혹적인레오파드15

치과갔다왔는데 치약추천부탁드립니다

안명하세요 제가 오른쪽 아랫 어금니가 현재 크라운이 씌워진 상태인데, 치과를 가니 일단 교합을 맞췄는데 더 고통스러워서 지금 잇몸치료를 받고 왔습니다. 크라운 목 근처 잇몸뼈가 녹아 만성염증이라고 하는데, 이게 이래도 낫지 않는다면 이제 발치를 할 수 밖에없다고 하는데

지금은 어떤 치약을 써야할까요? 치약도 브랜드가 여러개 있던데 오리지널이나 이런쪽을 쓰면 될까요??

  • 1번 째 사진

3개의 답변이 있어요!

  • 김지훈 치과의사

    김지훈 치과의사

    메가

    안녕하세요. 김지훈 치과의사입니다.

    치약은 아무것이나 쓰셔도 별 차이가 없습니다. 치약보다는 올바른 칫솔질과 치실 사용이 훨씬 중요합니다.

  • 안녕하세요. 김철진 치과의사입니다.

    치약을 바꾼다고 잇몸에 좋거나 그렇지 않습니다. 일단은 양치를 꼼꼼히 하시고 치실이나 치간칫솔로 치아 사이에 음식물이 남아 잇지 안ㄹ도록 관리를 해주시시는게 좋습니다.

  • 안녕하세요. 치아를 사랑하고 아끼는 치과의사 최석민입니다.

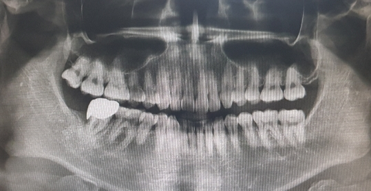
    현재 파노라마 방사선 사진으로 보아 만성 치주염의 상태가 맞습니다. 잇몸뼈가 많이 안 좋아 보이고 특히 크라운이 씌워져 있는 오른쪽 아래(40번대)가 안좋아 보입니다. 뼈 높이가 다소 내려간 상태에서 이를 완전히 회복시키거나 하는 치약이나 보조제(약)은 없습니다. 다만, 치약 중에 잇몸에 좋은 생약성분이 포함된 치약이 있으니 그런걸 사용하면서 꾸준히 잇몸치료를 치과에서 받으시기 바랍니다.

    한가지 더 말씀드리자면 작은 방사선 사진(치근단 사진)이 없고 파노라마 방사선 사진의 화질이 좋지 않아 정확히 말씀을 드리지는 못하지만 크라운을 한 쪽의 첫번째 큰 어금니(46번)와 두번째 작은 어금니(45번) 충치가 의심되며 크라운의 끝부분 모양과 높이가 이상적이진 않습니다. 다소 높이가 안 맞아서 잇몸에 좋지 않은 자극을 줄 수 있게 생겼는데 이건 단순히 교합조정으로 해결되지는 않습니다. 변화된 잇몸 모양이 맞춰 다시 크라운을 제작하는 것도 한번 고려해보시기 바랍니다.