홈
토픽
스파링
잉크
미션
전문가 신청
베리몰
나도 질문하기
의료상담
영원히황홀한범고래
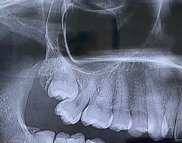
치과에서 사랑니가 안좋게 나서 사랑니 앞 어금니가 안좋아질수 있다고 발치 추천하셨어요. 그래서 유명한 사랑니 발치 전문 치과에 갔는데 사랑니 뽑다가 어금니 같이 뽑히거나, 사랑니만 뽑히더라도 어금니가 많이 흔들려서 밥먹다가 빠질수도 있다네요.
그리고 다른 사랑니발치 전문 치과에 문의해보니 발치가 가능하다던데, 발치하는게 좋을까요? 저는 어금니 임플란트 안하고 오래오래 쓰고싶어서 고민입니다!
사진 보기
4개의 답변이 있어요!
김철진 치과의사
가까운우리치과
∙
안녕하세요. 김철진 치과의사입니다.
사진상에 보이는 사랑니는 매복되어 잇어서 특별한 이유가 없다면 발치를 하지 않으셔도 될것같습니다.
평가
응원하기
안상우 치과의사
목동안치과의원
안녕하세요. 안상우 치과의사입니다.
사진으로 봤을 때는 사랑니가 맹출되지 않은 것으로 보입니다. 사랑니가 매복되어 있고 다른 문제를 발생시키지 않는다면 발치하지 않아도 됩니다.
최석민 치과의사
강원도 원주의료원
안녕하세요. 최석민 치과의사입니다.
발치를 하지 않으면 앞 어금니에 안 좋은 영향(충치유발, 치근흡수)도 있을 수 있지만 반면 뺄때도 앞 어금니에 영향을 줄 수도 있습니다 각도상 어쩔 수가 없네요
송우식 치과의사
솔플란트치과 경기도 성남시 모란역
안녕하세요. 송우식 치과의사입니다.
일단 매복된 오른쪽 윗쪽 사랑니 발치하는 것이 좋습니다. 그냥두면 점점 더 바로앞 어금니가 상하게 됩니다. 이런 경우 대개의 경우 바로앞 어금니 살릴 수 있습니다.