의료상담
55글자 더 채워주세요.
2개의 답변이 있어요!
안녕하세요. 김지훈 치과의사입니다.
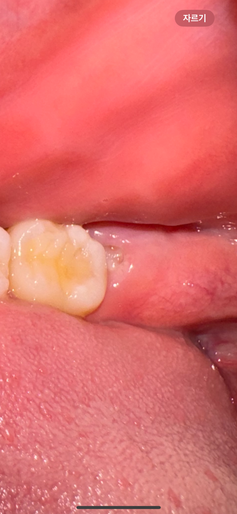
더 자랄지 안자랄지는 알 수 없지만 잇몸을 뚫고 나온 경우라면 발치 하시는 것이 좋겠습니다.
안녕하세요. 김철진 치과의사입니다.
엑스레이를 찍어봐야 알수 잇겟지만 성인이라면 치아가 더 맹출되진 않을꺼에요. 점점 잇몸이 내려가면서 치아가 부분적으로 노출은 됩니다.


안녕하세요. 김지훈 치과의사입니다.
더 자랄지 안자랄지는 알 수 없지만 잇몸을 뚫고 나온 경우라면 발치 하시는 것이 좋겠습니다.
안녕하세요. 김철진 치과의사입니다.
엑스레이를 찍어봐야 알수 잇겟지만 성인이라면 치아가 더 맹출되진 않을꺼에요. 점점 잇몸이 내려가면서 치아가 부분적으로 노출은 됩니다.