아핫뉴스실시간 인기검색어
아핫뉴스 화산 이미지
화산 아이콘 11
아시아나 개인정보 유출
아하

의료상담

치과

Smsmsmsmsmsm
Smsmsmsmsmsm

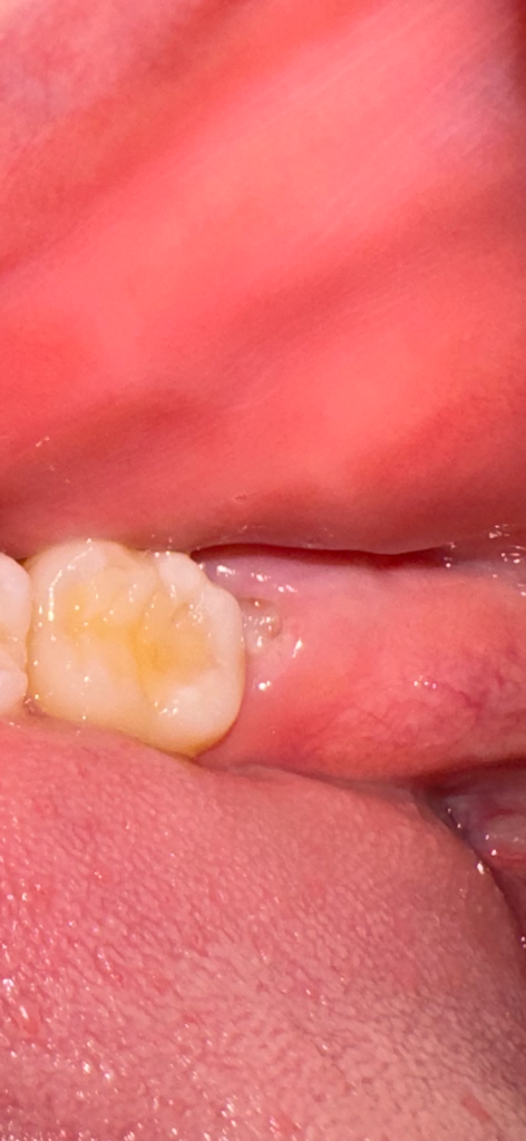
사랑니 여기서 더 맹출하겠죠?

혀로 눌렀을때 약간 울퉁불퉁한 느낌이 있어요ㅠ 조금 통증도 있김합니다.. 가만히 있으면 아무런 느낌이 없어요!!!2일전부터 진짜 조금 치아가 보이는데 지금 나고있는 과정이겠죠?

3달전에 치과갔을 때에는 여기 사랑니 뿌리가 다 안자랐다고 지캬보자고 하셨거든요



  • 1번 째 사진
4개의 답변이 있어요!
  • 안녕하세요. 안상우 치과의사입니다.

    사진으로 봤을 경우에는 사랑이가 부분적으로 맹출하고 있는 것처럼 보입니다.

    사랑니가 부분적으로 맹출되어 있으면 앞에 지하에 충치를 일으키거나 주변 조직의 염증을 유발할 수 있기 때문에 발치를 해주는 것이 좋습니다 자세한 확인을 위해서 치과에서 진료를 받아 보세요

  • 안녕하세요. 김지훈 치과의사입니다.

    사랑니가 더 자랄지는 알 수 없습니다. 통증이 있거나 불편하다면 발치 하시는 것이 좋습니다.

  • 안녕하세요. 송우식 치과의사입니다.

    각도에 따라 사랑니가 맹출될지여부는 다릅니다. 치과에 방문하여 엑스레이를 촬영하여 치아의 방향을 확인하고, 발치여부를 결정하길 권합니다.

    궁금증 해소에 도움이 되시길 바라며, 도움이 되신 경우 ‘추천’ 부탁드립니다. 감사합니다.

  • 안녕하세요. 김철진 치과의사입니다.

    성인이시라면 더이상 맹출은안되고 아마 점점 잇몸이 내려가면서 치아가 부분적으로 맹출될 가능성이 잇습니다. 아직 나이가 어리시면 맹출될가능성이 남아 있습니다.