아하
  • 토픽

  • 스파링

  • 잉크

  • 미션


의료상담

비상하는 올빼미862

비상하는 올빼미862

교정중에 치아를 갈기도 하나요?

부분교정중에 치아 부딪힘이 있어서 치과에 말씀드리니 브라켓을 살짝 조정해서 치아를 위로 살짝 올리거나 치아를 갈자고 하셔서 결국 치아 가는 선택을 했습니다


근데 치아 가는선택이 맞는지 모르겠네요 원래 치아를 갈기도 하나요?


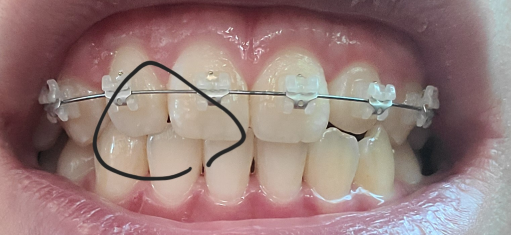
갈기전 모습입니다



스케일링하고 치아갈고 나서 모습입니다

  • 1번 째 사진
  • 2번 째 사진

3개의 답변이 있어요!

  • 정진석 치과의사

    정진석 치과의사

    대학병원 통합치의학전문의

    안녕하세요. 정진석 치과의사입니다.

    교정 중에 교정과 선생님의 판단하에서 교합으로 해결하는데 한계가 있으면 치아를 갈기도 합니다. 정확한 것은 해당 주치의 선생님과 상담이 필요해보입니다.

    아무쪼록 저의 답변이 문제 해결에 작게 나마 도움이 될 수 있기를 기원드립니다. 항상 건강하고, 행복하세요^^

    정진석 치과의사 드림

  • 안녕하세요. 김철진 치과의사/경제·금융전문가입니다.

    네 교합조정을 하기도 합니다 .갈아낸다고 엄청 많이 갈아내는건 아니고 최소 삭제를 하는거니 크게 걱정은 안하셔도 됩니다.

  • 탈퇴한 사용자

    탈퇴한 사용자

    안녕하세요. 장인아 치과위생사입니다.


    교정중 치간을 삭제하기도 합니다.


    치아를 삭제하면 일시적으로 


    시린 증상이 있을 수도 있습니다


    도움이 되기를 바랍니다. 건강하세요.