의료상담

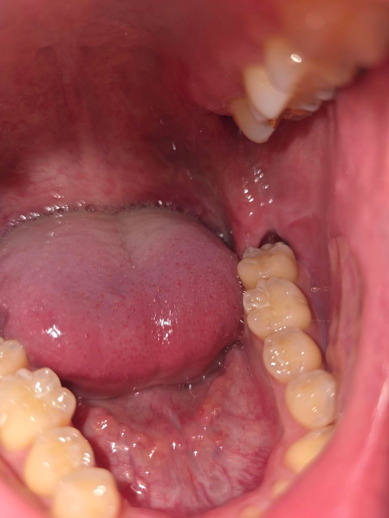
사랑니 발치 2주 후인데 이정도 구멍이 있는 것이 괜찮은건가요?

사진상으로 오른쪽에 발치 부위가 있는게 2주 전에 사랑니 발치한 곳이고, 왼쪽에 있는게 1주 전에 발치한 곳입니다. 그런데 2주 전에 발치한 곳은 구멍이 커보이고, 1주 전에 발치한 곳은 구멍이 작아보여서 혹시 이상있는 것인지 궁금해 질문드립니다. (통증은 없습니다. 워터픽 가장 약한 수압으로 하는데도 통증은 없습니다.)

저정도 구멍이 있는 것은 괜찮은건가요?

  • 1번 째 사진
  • 2번 째 사진

1개의 답변이 있어요!

  • 안녕하세요. 최석민 치과의사입니다.

    네 정상입니다 1~2달에 걸쳐 잇몸과 잇몸뼈가 재생되는 겁니다 변화가 느려 눈으로 관찰하긴 어려울 겁니다

    채택 보상으로 249베리 받았어요.

    채택된 답변