아하
  • 토픽

  • 스파링

  • 잉크

  • 미션


의료상담

항상단순한가자미

항상단순한가자미

사랑니 발치 2주차 혈병 색깔 질문드립니다

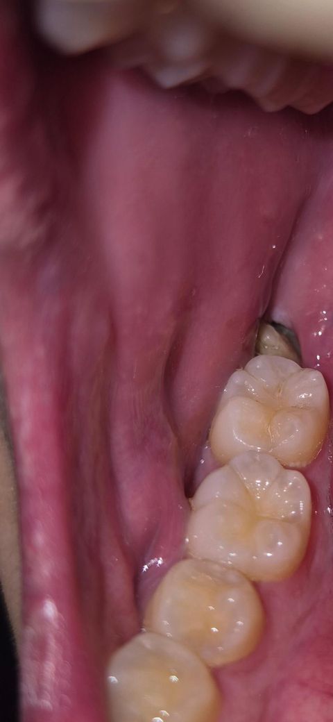
사랑니 발치 후 2주 지났습니다. 간간히 약한 통증이 느껴집니다. 사진 찍어보니 은근히 틈도 보이는 것 같고 색도 약간 연회색을 보이네요. 통증은 거의 없지만 문제 있는 걸까요?

  • 1번 째 사진

3개의 답변이 있어요!

  • 김지훈 치과의사

    김지훈 치과의사

    메가

    안녕하세요. 김지훈 치과의사입니다.

    사랑니를 발치한 이후에 2주정도 지났다면 지금부터는 문제가 생길 가능성은 거의 없습니다.

  • 안녕하세요. 김철진 치과의사입니다.

    잇몸이 아물면서 생기는 자연스러운 현상이며 아마 이물질이 껴서 그럴수도 잇으니 물로 여러번 헹구시는게 좋을것같습니다.

  • 안녕하세요. 최석민 치과의사입니다.

    사진상 별다른 문제는 없어보입니다 잇몸 구멍이 완전히 닫히기 위해서는 앞으로 1~2달 더 걸립니다