아하
  • 토픽

  • 스파링

  • 잉크

  • 미션


의료상담

듬직한재규어199

듬직한재규어199

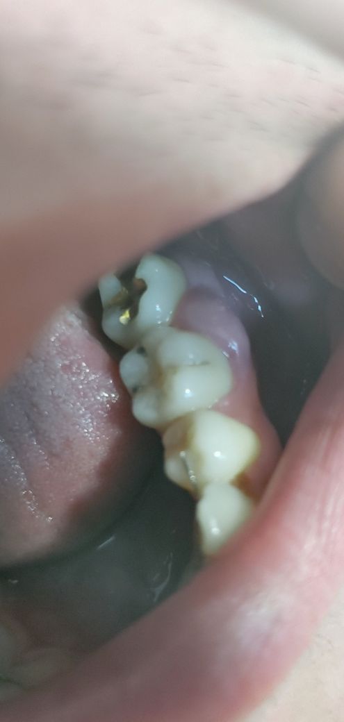
어금니 뒤쪽 잇몸이 부었는데 어떤건지 알 수 있을까요?

제가 충치로 인해서 크라운을 양쪽 어금니에 각각 다른 시간때에 씌운적이 있습니다. 그런데 오른쪽 크라운 씌운곳은 괜찮았는데 유달리 왼쪽만 더 아프고 해서 다시 병원 찾아가도 통증이 시작되면 신경치료를 다시 해야한다는 말만 하더군요. 그런데 이번에는 치아에 통증이 아니라 언제부터인가 왼쪽 크라운 씌운곳 잇몸이 붓기 시작하더라구요. 그냥 크라운 씌운 여파로 인해 붓는가 싶었거든요 뭐 다른 통증이나 이런게 붕은 장소에서 나타나지는 않아서....근데 나중가니깐 볼에 닿아서 불편하긴 하더라구요 어떻게 된건지 알려주실 수 있나요?

  • 1번 째 사진
  • 2번 째 사진

5개의 답변이 있어요!

  • 송우식 치과의사

    송우식 치과의사

    솔플란트치과 경기도 성남시 모란역

    안녕하세요. 송우식 치과의사입니다.

    사진상으로 보아 잇몸이 부은 잇몸 농양으로 보입니다.

    잇몸 농양의 경우 치과 내원하여 농양을 씻어내거나 절개하고 항생제 복용하여야 합니다.

  • 안녕하세요. 김용균 치과의사입니다.

    일반적으로 치아사이 잇몸이 붓는 경우는 치아사이에 음식물이 자주 끼고 깨끗하게 제거하지 않은 경우에

    잇몸이 붓고 아플수 있습니다.

    치실과 잇솔질로 해당부위 청결하게 해주세요.

    또는 잇몸병이 있어서 그럴수도 있습니다. 이경우에는 잇몸치료를 해주셔야합니다.

    간혹 뿌리쪽 염증때문일수도 있으며 그런 경우엔 신경치료를 해야합니다.

    정확한 진단은 치과에서 검사해보는걸 추천드립니다.

  • 안녕하세요. 정진석 치과의사입니다.

    현재 상황으로 보아서는 신경치료를 하지 않고 크라운을 진행한 것으로 보입니다. 보통 충치 범위가 애매한 경우에는 신경치료를 하지 않고 치료를 이어가는데, 이때는 경계선에 해당하므로 통증이나 불편감이 나타날 수 있습니다.

    지금과 같은 불편감이 나타난다면 보철물을 제거하고 다시 신경치료 이후 크라운을 하셔야 할 것으로 보입니다.

    아무쪼록 저의 답변이 문제 해결에 작게 나마 도움이 될 수 있기를 기원드립니다. 항상 건강하고, 행복하세요^^

    정진석 치과의사 드림

  • 안녕하세요. 박종열 치과의사입니다.

    잇몸에 염증이 생겨 농이 찬 것 처럼 보입니다 .

    절개 및 배농술을 받고 약을 드시거나 해당 부위의 치료가 시급해 보입니다.

  • 안녕하세요. 김철진 치과의사/경제·금융전문가입니다.

    단순한 잇몸염증으로 부은거라면 가셔서 잇몸치료 하시고 약을 드시면 괜찮아 지시겠지만, 사진으로 보면 치아 뿌리쪽에 염증이 생겻을 가능성이 커보입니다. 신경치료를 받으셔야될수도 있으니 치과가셔서 검진을 받아보세요.