아하
  • 토픽

  • 스파링

  • 잉크

  • 미션


의료상담

역대급굳센순록

역대급굳센순록

25.03.18

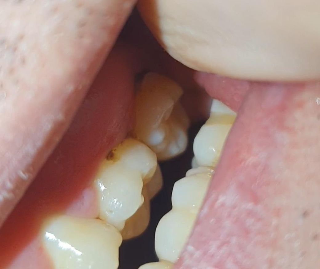
어금니 잇몸사이 검은색 괜찮을까요?


사진과 같이 어금니와 잇몸사이에 검은색이 있어서 질문드립니다.
저 검은색이 착색일까요 아님 충치가 발생한걸까요?

참고로 평소에 흡연을 하고 앞니 안쪽에 사진과 같이 검은색으로 착색이 일어난 상태입니다.

  • 1번 째 사진
  • 2번 째 사진
  • 3번 째 사진

4개의 답변이 있어요!

  • 김지훈 치과의사

    김지훈 치과의사

    메가

    25.03.18

    안녕하세요. 김지훈 치과의사입니다.

    어금니 잇몸사이 검은색은 착색으로 보이기는 합니다만 치과에서 확인해보시는 게 좋겠습니다.
  • 안녕하세요. 송우식 치과의사입니다.

    일단 치석인 것은 확실합니다. 우선적으로 스켈링하여 치석제거 후 충치가 있는지 다시 판단해야 합니다.

  • 안녕하세요. 김철진 치과의사입니다.

    치아 뿌리 부위에 충치가 잇는거 같습니다. 치과에 가셔서 검진후 치료를 받으시는게 좋을것같습니다.

  • 안녕하세요. 안상우 치과의사입니다.

    사진으로 보이는 검은색은 충치일 수도 있지만 착색일 수도 있습니다. 정확한 확인은 육안과 촉진 등으로 확인을 해봐야 알 수 있을 것으로 생각됩니다.

    자세한 확인을 위해서 치과에서 진료를 받아보는 것을 권유드립니다.