아하
  • 토픽

  • 스파링

  • 잉크

  • 미션


종종우수한푸들

종종우수한푸들

강아지 폐 기관지 엑스레이 좀 봐주세요

반려동물 종류

강아지

성별

암컷

중성화 수술

1회

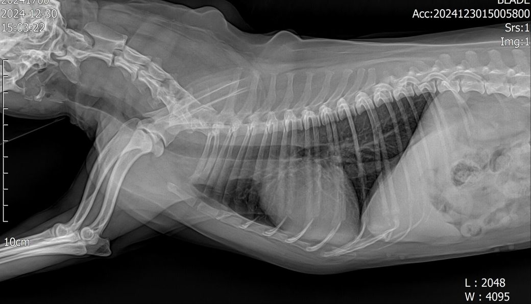
안녕하세요 어디서는 섬유화가 진행중이라고하고 3일뒤 다른병원가서 다시찍으니 만성기관지염이라고하네요 엑스레이 좀 봐주세요 ㅠㅠ기침은 하루에 켁켁켁카악 이걸 한번으로치면 3번정도는 해요 기본 한두번은 항상하구요

1개의 답변이 있어요!

  • 이은수 수의사

    이은수 수의사

    프리랜서

    안녕하세요. 이은수 수의사입니다.

    방사선 검사에서 초기 폐섬유화증은 만성 기관지염과 동일한 소견을 보입니다. 그래서 실제 조직검사를 하기 전까즈는 폐섬유화증고 만성기관지염은 방사선 검사를 통해 감별할 수 없습니다.

    또한 만성 기관지염이 진행되면 시간이 흐르면 폐섬유화증이 동반되기 때문에 엄격하게 이 둘을 구분하는것은 초기인 경우 큰 의미는 없습니다.

    또한 폐 섬유화증이 진행하여 임상증상이 발현하는 빈도는 매우 낮고 만성기관지염은 이보다 훨씬 잦게 나타나는 현상으로 둘을 구분하기보다 만성 기관지염으로 가정을 하고 치료하는게 옳은 선택입니다.

    첨부한 사진에서 세기관지벽의 침윤 양상과 함께 무정형의 간질성 침윤이 동반되어 있기 때문에 일차적으로 만성 기관지염이 있을 가능성이 매우 높고, 이 사항이 충분히 관리되지 않으면 향후 폐섬유화증으로 진행될(혹은 일부 진행된 상황) 가능성을 고려해야 하니 두 동물병원의 소견이 모두 맞다고 볼 수 있습니다.