아하
  • 토픽

  • 스파링

  • 잉크

  • 미션


종종우수한푸들

종종우수한푸들

강아지 폐 엑스레이 판독부탁드립니다

반려동물 종류

강아지

품종

폼피츠

성별

암컷

중성화 수술

1회

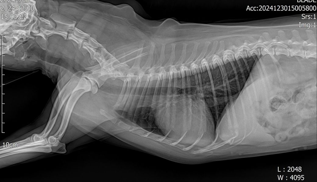
안녕하세요14살 강아지 입니다 6개월전 폐 엑스레이와 현재엑스레이인데요 6개월전 찍었을시 첫병원은 폐섬유화진행중이라고하 두번째병원에선 다르게 만성기관지염이다 했어요

그리고 이번에 찍은 엑스레이 사진 판독으로 현재 어떤지 봐주시겠어요

위에사진이 6개월전입니다

아래사진이 현재구요

현재사진은 세번째 다른병원에서 찍은 사진입니다

1개의 답변이 있어요!

  • 이은수 수의사

    이은수 수의사

    프리랜서

    안녕하세요. 이은수 수의사입니다.

    대동 소이 합니다. 두 병원에서 말한 진단명은 실제 진단명이 아니라 감별진단리스트로서 제시된 가진단으로 봐야 합니다. 왜냐하면 폐섬유화증으든, 만성기관지염이든 실제 방사선으로 진단하는 질환이 아니라 조직검사를 통해 진단하는 질환이고, 방사선 검사는 감별진단 리스트를 작성하기 위한 보조 수단일 뿐이기 때문입니다.

    또한 만성 기관지염이 진행되면 폐섬유화증이 진행되는 즉, 원인과 결과의 관계로 만성기관지염이 있다면 폐섬유화가 어느정도 존재할것으로 판단해야 하고, 반대로 폐섬유화증이 있다면 만성기관지염이 있었거나, 있는 상태로 보아야 합니다.

    즉, 두 병원에서 다른 단어를 쓰고 있지만 결국 같은 의미의 말을 하고 있다고 해석하는게 옳습니다.

    비전공자인 보호자 입장에서는 이런 말장난같은 수의사들의 표현이 답답하실 수도 있지만 이는 병태생리학적 과정이 공학이나 수학처럼 딱 떨어지지 않고 그라데이션되듯 중첩되어 진행된다는 사실, 살아있는 생명체이기 때문에 시점마다 상황이 다른 점 들로 인해 발생하는 사항들이니 단어의 의미에 집중할 필요 없고 집중해야 하는것은 현재 환자의 증상입니다.