홈
토픽
스파링
잉크
미션
전문가 신청
베리몰
나도 질문하기
의료상담
미래도존경스러운버팔로
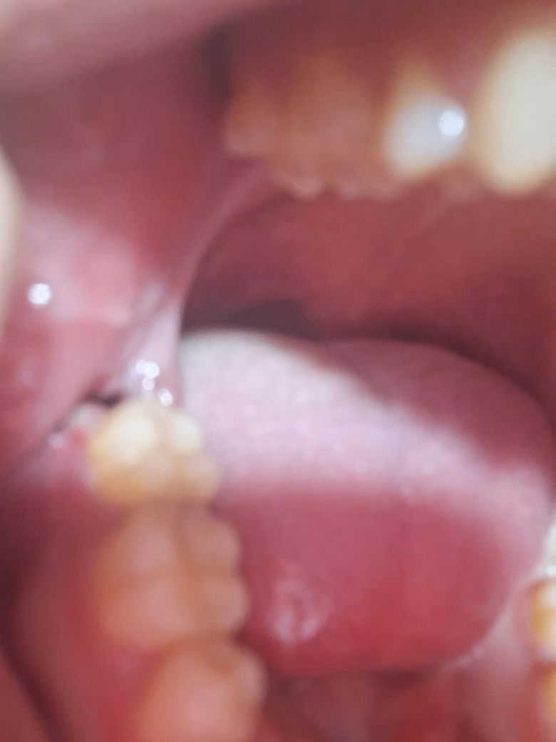
뭔가 역한 냄새도 없고 통증도 엄청 아프진 않고 가끔 욱신 거리는 느낌인데
혹시 몰라서 사진 찍어보니까 이러네요 혹시 드라이소켓인가요 ?
만약 드라이소켓이라면 바로 치과 가는게 좋겠죠 ? 아니면 자연치유 하나요 ?
사진 보기
3개의 답변이 있어요!
최석민 치과의사
강원도 원주의료원
∙
안녕하세요. 최석민 치과의사입니다.
드라이소켓은 애매한 통증이 아닙니다 누가 느껴도 극심한 통증입니다 지금 상황은 크게 문제 없어보입니다
평가
응원하기
안상우 치과의사
목동안치과의원
안녕하세요. 안상우 치과의사입니다.
사진으로 봤을 경우에는 드라이소켓으로 보이지는 않습니다. 드라이소켓이 있을 경우 극심한 통증과 냄새가 나는 경우가 많이 있습니다. 드라이소켓이 생기는 원인은 발치한 부위의 혈병이 제거가 되기 때문이기 때문에 발치한 부위가 자극되지 않도록 하는 것이 좋습니다.
전택근 치과의사
구강악안면외과 전문의
안녕하세요. 전택근 치과의사입니다.
드라이소켓이라면 극심한 통증 동반되며 첨부한 사진에서는 큰 이상 소견 보이지는 않습니다. 정상치유 과정중인 것으로 보이며 아직 완전 치유된 상태 아니기 때문에 물양치 잘하며 관리잘하시기를 바랍니다.
감사합니다.
*본 답변은 환자분의 말씀에 의거한 답변으로 다니시는 치과의원 또는 근처 치과 등 내원하셔서 정밀검진을 요합니다.