아핫뉴스실시간 인기검색어
아핫뉴스 화산 이미지
화산 아이콘 11
이해찬 전 총리 위독
많이 본
아하

의료상담

치과

검은알파카221
검은알파카221

임플란트 시술 후 지속적인 통증 관련 문의드립니다

안녕하세요.
임플란트 시술 이후 통증이 계속되어 조언을 구하고자 글 남깁니다.

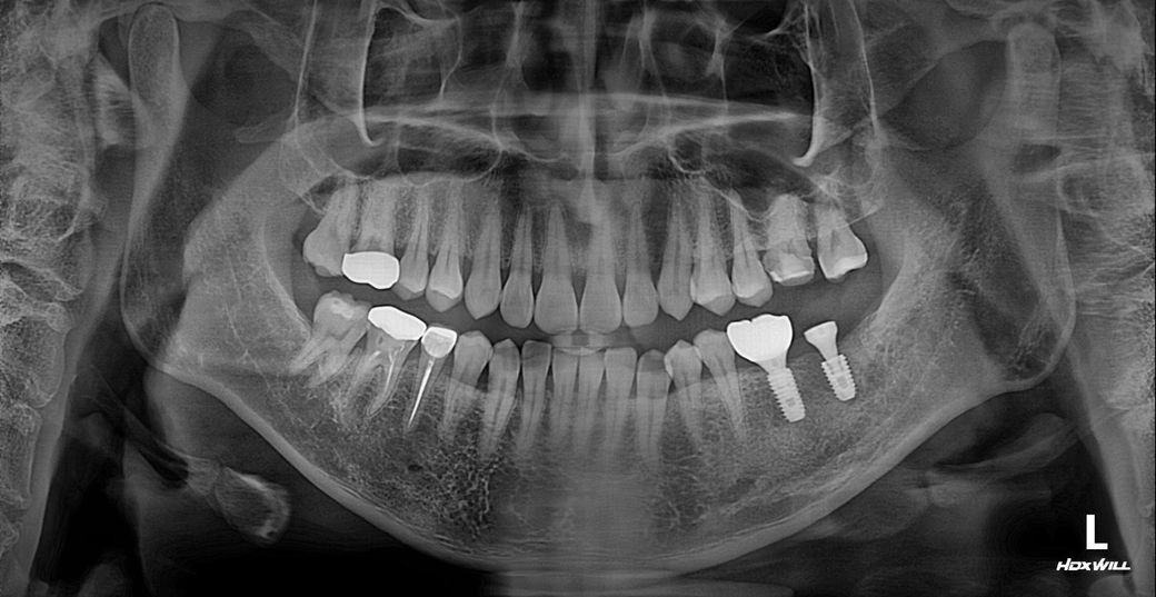
왼쪽 아래 끝에 어금니 자리입니다. X-ray사진으로 지대주까지 설치된 곳입니다.

■ 시술 및 통증 경과 타임라인

  • 올해 4월

    • 치아 발치

    • 발치 후 2주 뒤 임플란트 픽스처 식립

  • 픽스처 식립 2개월 후

    • 픽스처에 지대주(어버트먼트) 설치

    • 이때 극심한 통증 발생

  • 지대주 설치 3일 후

    • 통증이 너무 심해 병원 재방문

    • 지대주 교체

  • 지대주 교체 후에도 통증 지속

    • 힐링 어버트먼트로 교체

    • 2개월간 유지

    • 이 기간 동안 잇몸이 다시 덮이는 현상 발생

  • 다시 지대주 설치

    • 이전보다는 통증이 감소했으나 완전히 사라지지는 않음

  • 시간이 지날수록 통증 재발

    • 가만히 있어도 간헐적으로 욱씬거리는 통증

    • 신경 쓰일 정도의 불편감

  • 지대주 설치 후 약 1개월 경과 관찰

    • 통증 감소

  • 최근 크라운 장착

    • 임시 크라운 상태

  • 현재 상태

    • 통증 여전히 존재

    • 씹을 때 통증은 없음

    • 임플란트 잇몸 주변을 누르면 통증 있음

    • 가만히 있을 때도 욱씬거리는 느낌, 묵직한 압박감 있음

병원 상담 내용

  • 임플란트 제거 가능 여부 문의

  • 병원에서는
    '제거하더라도 통증이 사라질지 장담할 수 없다'는 답변을 받음

  • 조만간 임플란트 제거 여부 결정예정

■ 현재 궁금한 점

  • 임플란트를 유지하는 것이 맞는지, 아니면 제거를 고려해야 하는 상황인지

  • 임플란트 주위염, 신경 자극, 기타 원인 가능성

  • 비슷한 경험이 있으셨던 분들의 조언을 듣고 싶습니다

  • 1번 째 사진
  • 2번 째 사진
1개의 답변이 있어요!
  • 안녕하세요. 최석민 치과의사입니다.

    파노라마 엑스레이상으론 나사는 잘 심겨진 것 같습니다 임플란트 주위염으로 보이진 않고, 그런 증상도 아닙니다

    다만 원인이 불명확하니 이를 파악하기 위해 픽스쳐를 제거술을 해보고 증상을 지켜볼 수 있습니다

    비정형 치통, 수술통 가능성이 있어보입니다