아하
  • 토픽

  • 스파링

  • 잉크

  • 미션


의료상담

즐거운들소65

즐거운들소65

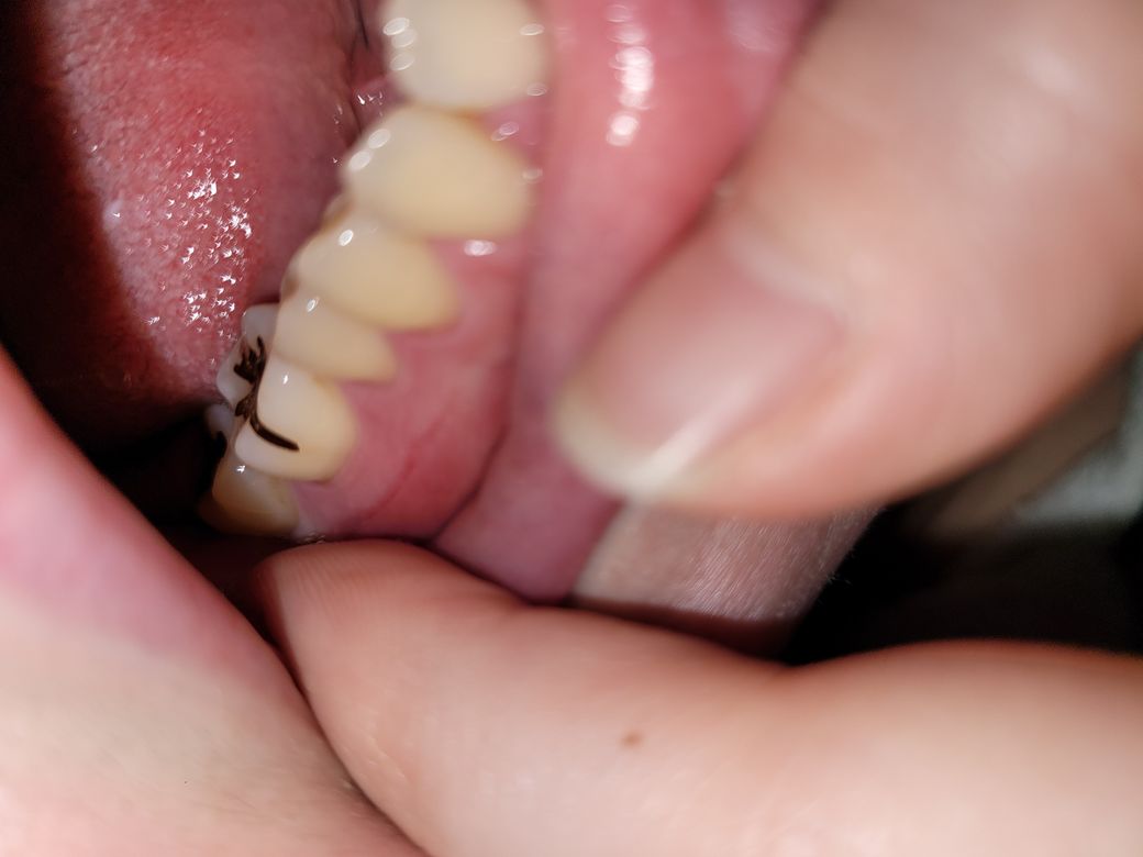
잇몸에 가로줄이 왜 생긴걸까요?

사진이 같이 안올라가서 다시 올립니다 ㅠ

안쪽 잇몸이 이렇게 가로줄이

칼에 베인듯? 잇몸이 반으로 갈라진 듯

가로줄이 생겨요

혀로도 느껴지고..

예전에 잇몸 부었을때 생긴뒤로

평소에 없다가도 피곤하고 잇몸이 붓고 그럴때

다시 이러는것 같아요

음식먹을때는 이부분이 따가울때도 많고요 ㅠㅠ

오른쪽 잇몸만 그런데

검색해도 저같은 경우를 찾아볼수없네요

왜그런가요 정상맞나요?

사진상으로는 정확하게 안보이긴 해요 ㅠㅠ덜 뚜렷

  • 1번 째 사진
  • 2번 째 사진
  • 3번 째 사진

7개의 답변이 있어요!

  • 안상우 치과의사

    안상우 치과의사

    목동안치과의원

    안녕하세요. 안상우 치과의사/경제·금융전문가입니다.

    해당부위는 부착치은과 점막치은의 경계부입니다. 부착치은은 단단하게 잇몸에 고정되어 있고 점막치은은 부착치은보다 약하게 잇몸에 부착되어 있어요.

    정상적인 구조의 형태이기 때문에 크게 걱정하지 않으셔도 됩니다.

  • 안녕하세요. 이성영 치과의사입니다.

    치주질환 또는 외상에 의한 상처 등 여러 가능성이 있습니다.

    사진만으로는 정확한 원인을 판단할 수 없으며 촉진, 방사선 사진, 잇몸검사 등 여러 검사를 통해 정확한 판단이 가능할 것으로 보입니다.

  • 안녕하세요. 송우식 치과의사입니다.

    잇몸 부위에서도 단단한 부위(부착치은)과 부드러운 부위(유리치은)으로 나누어 지는데

    피로감 등으로 잇몸 전체가 붓는 경우 이들의 경계부위가 뚜렷하게 나타나 보이는 것으로 보입니다. 그냥 두면 없어질 것으로

    보입니다.

  • 안녕하세요. 박종열 치과의사입니다.

    유동조직과 부착치은의 경계선으로 정상인 구조입니다.

    크게 걱정 안하셔도 되고

    큰 문제 없으니 안심하셔도 될 것 같습니다.

    답변이 도움이 되셨길 바랍니다.

  • 안녕하세요. 이정현 치과의사입니다.

    사진으로만 봤을때는 딱히 문제가 있는 병소로 보이진 않습니다.

    만약 저 부위가 불편하다면, 양치질을 가로로 하거나 너무 세게해서 그럴수도 있습니다.

    통증이 저 부위가 심하거나, 오랜기간 지속된다면 치과에서 정확히 검사를 받아보시기 바랍니다. 감사합니다.

  • 안녕하세요. 정진석 치과의사입니다.

    구내염을 심하게 앓았거나 연조직 질환이 있었다면 이것이 치유되는 과정에서 scar가 남았을 가능성이 있습니다. 다만 지금 사진으로서는 정확한 판단이 힘들며 동맥류나 다른 원인에 의해서 나타났을 가능성도 있습니다. 따라서 정확한 판단을 위해 임상 검사 및 방사선 사진 검사를 해보아야 할 것으로 보입니다.

    아무쪼록 저의 답변이 문제 해결에 작게 나마 도움이 될 수 있기를 기원드립니다. 항상 건강하고, 행복하세요^^

    정진석 치과의사 드림

  • 안녕하세요. 김철진 치과의사/경제·금융전문가입니다.

    사진을 보니 뭐에 눌린듯한 자국같습니다. 구강에 다른 장치를 사용하시는건지 아니면 양치하실때 상처가 난거일수도 있습니다. 사진상으로는 정확히 판단하기 힘드니 먼저 치과를 가셔서 단순 상처시라면 구내염치료를 받으시면될것같아요.

    1. 구강장치에 눌렷을 가능성

    2. 외부자극으로 상처가 난경우

    3. 구내염 가능성이 있습니다