홈
토픽
스파링
잉크
미션
전문가 신청
베리몰
나도 질문하기
의료상담
은근히열렬한사자
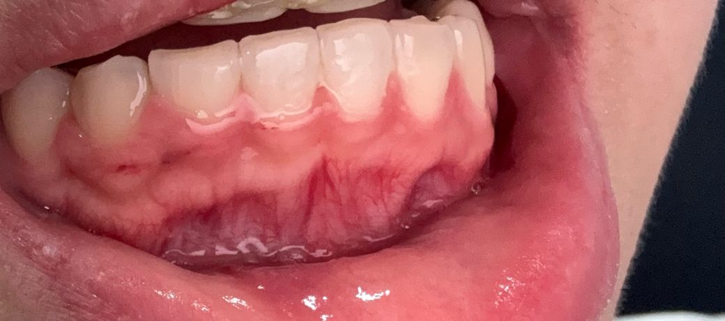
양치를 하려고 치아를 유심히 보다가 잇몸에
이러한 상처? 실핏줄?이 있는 걸 발견했습니다
뭐가 문제일까요…
요즘 몸이 좋지 않아 더욱 걱정이 됩니다
사진 보기
2개의 답변이 있어요!
류동균 치과의사
김천의료원
∙
안녕하세요. 류동균 치과의사입니다.
사진의 해상도가 다소 미흡해 정확하지 않지만
잇몸 아래 조직이 얇아 하부의 미세혈관이 비쳐보이는 것으로 추정됩니다.
평가
응원하기
최석민 치과의사
강원도 원주의료원
안녕하세요. 최석민 치과의사입니다.
특별히 병적인 소견은 아닌 것 같습니다 잇몸에 분포해 있는 정상적인 혈관들이고 아랫입술을 아래로 눌러 신장시키다보니 혈관이 더 도드라져 보이는 겁니다