아하
  • 토픽

  • 스파링

  • 잉크

  • 미션


의료상담

탈퇴한 사용자

탈퇴한 사용자

치아교정중인데 치근흡수의 관하여 문의드립니다



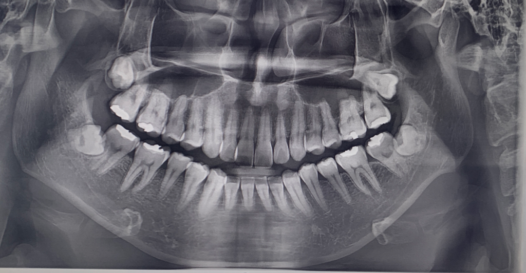
1. 첫번째가 2년전 두번째 사진이 올해찍은 엑스레이인데요 현재 나이가 27살인데 심미목적으로 치아교정을 진행중입니다.


교정하면 잇몸이나 뿌리가 짧아진다고 해서요


현재 제 잇몸 상태와 치근흡수가 됐을 경우

제 잇몸 뿌리가 많이 안좋아지나요?


현재 뿌리가 정상보다 짧은건지 긴건지 궁금해요

  • 1번 째 사진
  • 2번 째 사진

2개의 답변이 있어요!

  • 김철진 치과의사

    김철진 치과의사

    가까운우리치과

    안녕하세요. 김철진 치과의사입니다.

    아래쪽 엑스레이는 약간 잘못나온것처럼 보입니다. 그걸 감안해서보더라도 치근흡수가 많이 일어 난거 같지는 않습니다.

  • 안녕하세요. 치아를 사랑하고 아끼는 치과의사 최석민입니다.

    1. 교정으로 인해 치아 뿌리(치근)가 흡수될 수 있습니다.

    2. 치근이 흡수되면 잇몸 상태가 조금만 안 좋아져도 치아가 다른 사람보다 더 많이 흔들릴 수 있습니다.

    3. 더하여 교정을 하면 잇몸도 안 좋아 질 수도 있습니다. 잇몸 염증이나 잇몸 높이 낮아짐 등의 현상이 생길 수 있습니다.

    4. 파노라마 사진은 왜곡도 많이 되어 있고 아래 앞니가 앞으로 기울어져 있을 경우(flaring) 아주 짧게 보이는 경우도 있습니다. 따라서 아래 앞니의 각도가 어떤지 실제 모습을 봐야 정확히 알 수 있습니다. 아래 앞니 각도가 정상이라는 전제하에 치근은 평균보다 다소 짧아 보입니다.