아하
  • 토픽

  • 스파링

  • 잉크

  • 미션


의료상담

많이부드러운라마

많이부드러운라마

25.02.26

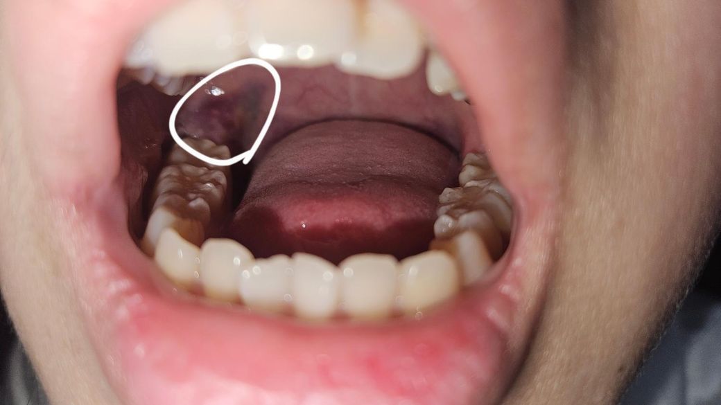
사랑니 뺀 자리 잇몸이 붉게? 멍들었어요

사랑니 뺀지 3일차고 지혈 잘 되어서 피는 안나요

통증도 이를 악 물지 않는이상 괜찮고요

다만 잇몸이 사진에 보이는것과 같이 붉게 멍같은거 들었는데 이거 덧나거나 이상이 생긴건가요?

주변 사랑니 뺀 사람들이 생니를 뽑은거라 그런거라고 안심하라는데 걱정이 많은 성격이라...

빨대 안쓰고 음식도 죽 위주 씹는건 반대편(안뽑음)으로 조심히 씹어먹었어요

걱정되는 마음에 올려봅니다...

  • 1번 째 사진

5개의 답변이 있어요!

  • 김지훈 치과의사

    김지훈 치과의사

    메가

    25.02.27

    안녕하세요. 김지훈 치과의사입니다.

    주의사항 잘 지키고 계시다면 문제가 생길 가능성은 낮으며 멍들거나 할 수도 있습니다. 걱정 너무 안하셔도 됩니다.

  • 안녕하세요. 김철진 치과의사입니다.

    발치를 하면서 잇몸이 눌려서 일시적으로 그런거 같습니다. 시간이 지나면 붓기가 빠지면서 괜찮아 질테니 너무 걱정하지마세요.

  • 안녕하세요. 최석민 치과의사입니다.

    1. 네 일단 발치후 주의사항 잘 지키시고, 처방된 약도 모두 복용해주시기 바랍니다.

    2. 일반적으로 발치나 마취 술식 관련하여 혈관 부종등이 생기는 경우가 간혹 있습니다. 지금으로써는 좀 더 증상을 지켜보는 것이 좋을 것 같습니다.

  • 안녕하세요. 송우식 치과의사입니다.

    현재 피도 안나고통증도 없는 경우에는 잘아물고 있는 것이며, 잇몸이 붉고 멍이든 경우 발치과정에서 해당부위 잇몸이 자극을 받아 잇몸에 출혈이 나고 스며들면서 멍처럼 보일수 있습니다.

    통증이 없고, 악취나 붓기가 없는 경우에는 문제가 되지 않기에 걱정하지 않아도되며, 만약 통증, 악취, 붓기가 유발시에는 병원진료를 받길 권합니다.

    만족스러운 답변되셨으면 합니다.

    평가 감사합니다

  • 안녕하세요. 안상우 치과의사입니다.

    사진으로 봤을 경우에는 큰 문제가 없어 보입니다. 사랑니를 발치한 부위에서 출혈이 된다면 거즈를 물고 있는 것이 좋으며 냄새나 통증이 있다면 감염이 됬었을 수 있기 때문에 치과에서 확인을 하는 것이 좋을 수 있습니다.