아하
  • 토픽

  • 스파링

  • 잉크

  • 미션


의료상담

노란파리매43

노란파리매43

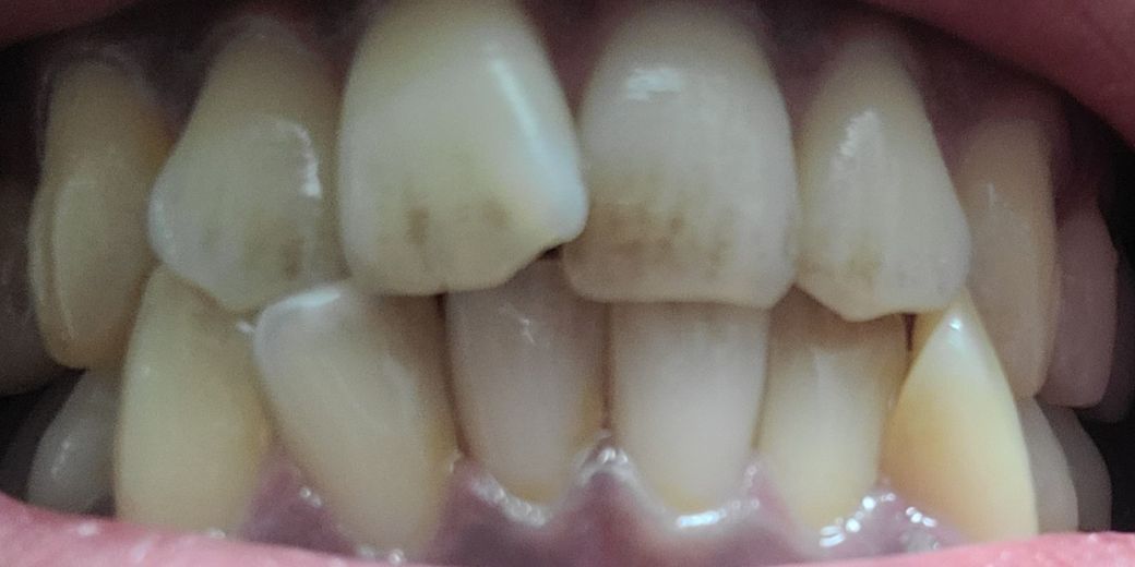
치아 앞니 아랫니 부분 투명해지고 이상한데 어케해야되죠

원래 끝부분이 투명하긴했는데 최근들어보니 엄청 심해지고 그냥 끝부분도아니고 타고올라오네요 치과에서 가릴수있는 시술이 있나요? 흡연을 좀 많이하긴하는데 착색은 그렇게 신경쓸정도는아닌데 투명한게 치아가 맛이 간것같이 보기싫네요 아니면 저게 착색인가.. 이렇게 보니까 치아도 엄청 삐뚤어졌네요 보기싫다...

  • 1번 째 사진

3개의 답변이 있어요!

  • 안상우 치과의사

    안상우 치과의사

    목동안치과의원

    안녕하세요. 안상우 치과의사입니다.

    사진으로만 봤을 경우에는 간단한 착색으로 보입니다.

    치과에서 간단하게 제거를 할수 있기 때문에 치과에서 진료를 받아 보세요.

  • 안녕하세요. 김철진 치과의사입니다.

    치아의 끝부분이 투명하게 보이는건 아마도 교합이 좋지 않아서 치아의 법랑질이 닳게되면서 그렇게 보일수 있습니다. 치아에 까맣게 보이는건 착색된거 같으니 치과에 가셔서 스켈링을 받으시는게 좋을것같습니다.

  • 안녕하세요. 최석민 치과의사입니다.

    1. 니코틴 착색은 스케일링으로 다소간 없앨 수 있습니다.

    2. 현재 잇몸과 치아 경계부위 흰색&투명색으로 변하는 것은 잇몸과 관련하여 염증이 있다는 신호로 보여집니다.

    3. 치과에서 잇몸에 대한 진단을 받아보시고 필요하다면 잇몸치료를 받으시면 됩니다.

    4. 치열이 고르지 않은 경우 음식물이나 치태가 더 잘 낄 수 있으니 양치질을 더 신경써주시고 필요하다면 교정치료를 받으셔도 됩니다. 성인의 경우도 교정을 해주는 경우가 많이 있습니다.