강아지 조직검사 정확하나요? (펀칭으로 세군데)

겨드랑이에 종괴가 있어서 세침검사하니

고등급칼시노마라고 나왔어요

근데 종양 세군데 펀칭으로 떼내서 조직검사 보냈는데

암아니고 염증이라합니다.

수의사는 조직검사결과를 믿지말라고

더 알아본다는데

이런경우도 있나요?

1개의 답변이 있어요!

  • 안녕하세요. 이은수 수의사입니다.

    세침흡인검사의 정확도는 33%수준이고, 조직검사의 정확도는 90% 이상입니다. 그런 이유로 통상 세침흡인검사와 조직검사간의 결과차이가 발생하면 세침흡입검사 결과를 기각하고, 조직검사 결과를 참으로 인정합니다. 즉, 악성종양의 진단 golden standard는 조직검사입니다. 하지만 조직검사는 조직 샘플링이 잘못된 경우 결과의 차이가 발생할 수 있습니다.

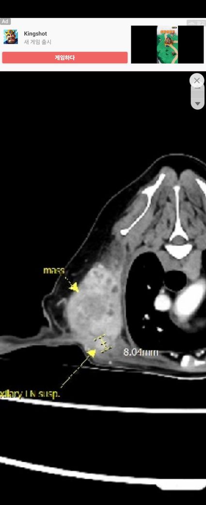
    현상태에서는 CT 영상에서 조영전 영상의 HU값 비교를 통해 해당 종괴의 밀도가 지방밀도인지, 연부조직 밀도인지가 진단에 중요한 요소가 됩니다. 조영전 영상에서 HU값이 지방 밀도라면 조직검사 결과가 참으로 여겨지고, 연부조직 밀도라면 세침흡인검사 결과가 참일 가능성이 높아집니다. 하지만 조직검사 결과에서 침습성 지방종과 지방층염이 동반된 소견이라는 구절이 있기때문에 해당 상황에서는 HU값이 높게 즉, 연부조직 밀도라고 하더라도 침습성 지방종을 배제할 수 없게 됩니다.

    다시 말해 첨부된 자료만으로는 어느 결과를 신뢰해야 하는지를 판단할 수 없으니 HU값의 측정이 가능한 원본 즉, DICOM file을 편집할 수 있는 주치의와 상의해 보시는걸 추천합니다.

    침습성지방종은 그 자체는 양성 종양이나 종양행동학적 성격이 악성종양의 행동패턴을 보이기 때문에 장기적인 관점에서 모니터링이 필요합니다. 주변 연접부에 대한 침습성을 보이지만 원격 전이를 보이지 않는 특징이 있어 다른 종양처럼 전이등에 의한 문제를 크게 걱정할 필요는 없는 종양입니다. 다만 동반된 지방층염이 종양에 의한 국소적인 반응이라면 수술을 한 상태이기 때문에 완치 가능성이 높으나, 면역원성으로 발생한 지방층염이라면 종양보다 지방층염에 의한 질병상태 유지, 악화 가능성이 있으니 이런 부분도 면밀한 추적검사가 필요한 사항입니다.