아핫뉴스실시간 인기검색어
아핫뉴스 화산 이미지
아하

의료상담

치과

색다른표범99
색다른표범99

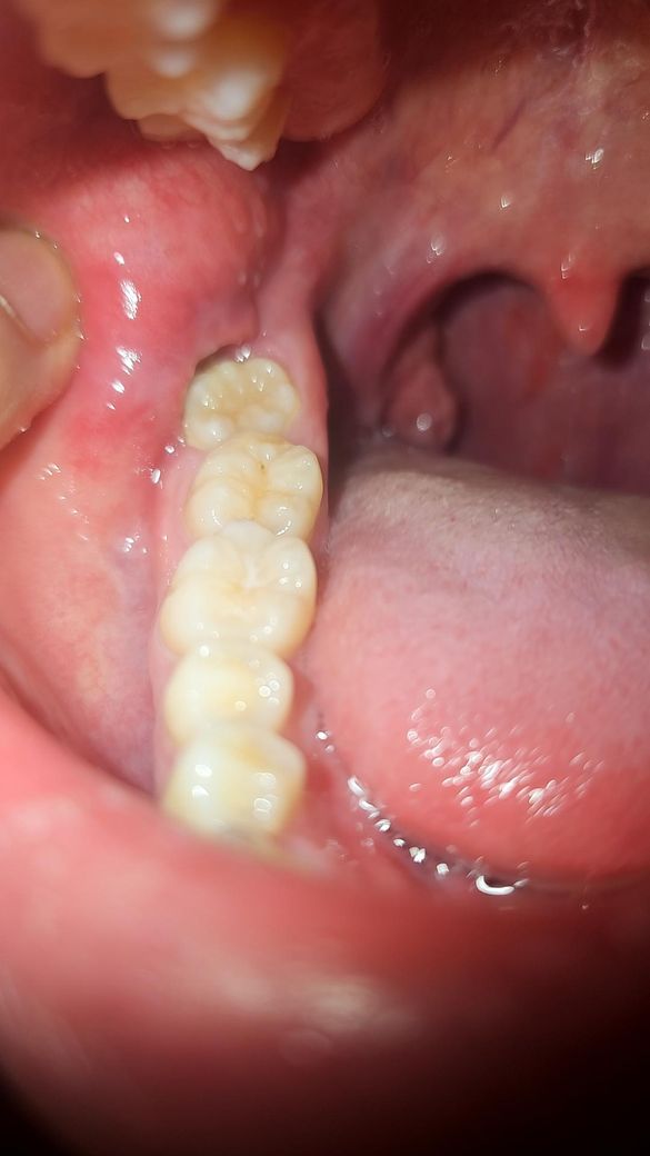
사진속의 잇몸 염증질문 탄툼으로 연명중

지난주에 항생제 3일먹고

이번주는 탄툼으로 연명하고 있는데

자연치유가능이나 다른 시술가능한지 문의합니다

발치는 전에 대학병원에서 폰빌레브란트병 의심으로

몇년 진료받은적이 있어서 그냥 치과에선 발치를 못하고 시간이 걸립니다

  • 1번 째 사진
  • 2번 째 사진
2개의 답변이 있어요!
  • 안녕하세요. 김철진 치과의사입니다.

    사랑니 때문에 염증이 생겨서 불편한거 같습니다. 계속 불편하시면 사랑니 발치를 하시는게 좋을것같습니다.

    1명 평가
  • 안녕하세요. 안상우 치과의사입니다.

    사랑니로 인해서 잇몸에 염증을 유발한다면 사랑니를 발치해주는 것이 좋습니다. 지속적으로 염증을 유발하게 되면 주변 조직에 손상이 발생할 수 있기 때문입니다

    1명 평가