아하
  • 토픽

  • 스파링

  • 잉크

  • 미션


의료상담

지금도차분한부장

지금도차분한부장

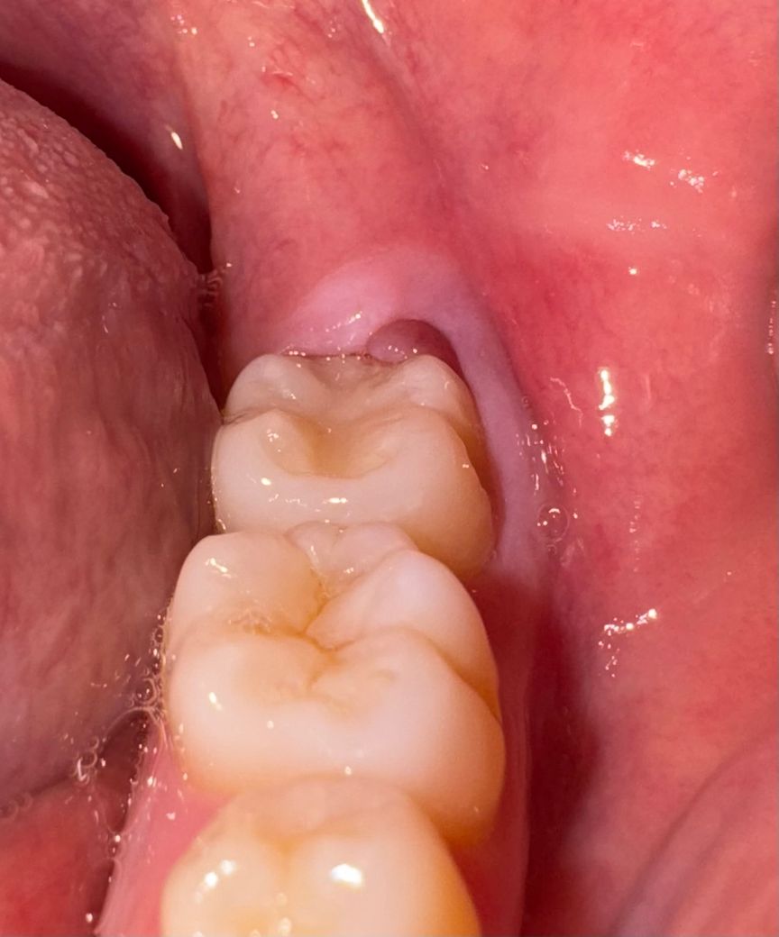
맨 뒤 어금니 잇몸에 이런게 삐져나왔어요

사랑니는 아직 안뽑은 상탠데 갑자기 보니까 맨 뒤 어금니 잇몸에 이런게 생겼어요 달랑달랑거리고 넘기면 사랑니가 보이는거 같기도한데 이게 도대체 뭔가요? 잇몸인 것 같기는 한데 종기처럼 튀어나와가지고 잘 모르겠습니다

  • 1번 째 사진
  • 2번 째 사진

5개의 답변이 있어요!

  • 김지훈 치과의사

    김지훈 치과의사

    메가

    안녕하세요. 김지훈 치과의사입니다.

    현재 올려주신 사진으로 봤을 때에는 사랑니가 자라면서 염증 반응도 나타나고 있어 보입니다.

  • 안녕하세요. 송우식 치과의사입니다.

    잇몸속에 사랑니가 묻혀 있는 상태에서 사랑니 주위에 염증이 생기면 잇몸이 이런식으로 붓기도 합니다. 염증이 가라앉으면 튀어나오고 너덜거리는 것이 줄어들기도 하지만 사랑니가 있다면 사랑니를 뽑아야 해결됩니다. 치과에서 x-ray 찍어 사랑니 존재여부 확인해야 합니다.

  • 안녕하세요. 김철진 치과의사입니다.

    사랑니 떄문에 그런거 같습니다. 정확한건 치과에 가셔서 엑스레이를 찍어보셔야될것같습니다.

  • 안녕하세요. 최석민 치과의사입니다.

    맨 뒤 반쯤 맹출한 치아는 사랑니이고 사랑니로 인해 잇몸이 붓는 치관주위염 같습니다 치과가서 사랑니 발치 상담 받아보시기 바랍니다.

  • 안녕하세요. 안상우 치과의사입니다.

    사랑니가 부분적으로 맹출되고 있는것으로 보입니다.

    사랑니로 인해서 불편감이 생긴다면 사랑니를 발치해 주는것이 좋습니다.

    자세한 확인을 위해서 치과에서 진료를 받아 보는것을 권유드립니다.